تومور سلول ژانت در غلاف تاندون
تومور سلول ژانت در غلاف تاندون (انگلیسی: Giant-cell tumor of the tendon sheath) که با نامهای سینوویومای ژانت سل و تنوسینوویت ندولار[1] هم شناخته میشد، یک ضایعهٔ سخت با قطر ۱ تا ۳ سانتیمتر است که اغلب در تاندون انگشتان، دستها، مچ با ترجیح سطوح فلکسور دیده میشود.[1][2]
| تومور سلول ژانت در غلاف تاندون | |
|---|---|
![]() | |
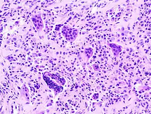
| نمای هیستوپاتولوژی تومور سلول ژانت در غلاف تاندون در انگست دست با استفاده از رنگآمیزی هماتوکسیلین ائوزین. | |
| تخصص | سرطانشناسی، روماتولوژی |
این تومور بیشتر در غلاف تاندونهای مچ دست و انگشتان افراد ۲۰ تا ۵۰ ساله دیده میشود که فاقد درد بوده و میتوانند باعث خوردگی سطح استخوان میشوند. راه درمان این بیماری، جراحی است، اما این تومور پس از درمان، تمایل به عود مجدد دارد.
منابع
- مشارکتکنندگان ویکیپدیا. «Giant-cell tumor of the tendon sheath». در دانشنامهٔ ویکیپدیای انگلیسی، بازبینیشده در ۳۰ مه ۲۰۱۸.
This article is issued from Wikipedia. The text is licensed under Creative Commons - Attribution - Sharealike. Additional terms may apply for the media files.
.jpg.webp)