دید بالاییپایینی
دید بالایی-پایینی، دید فوقانی-تحتانی، یا صفحهٔ بالایی-پایینی یا دید یا صفحهٔ آگزیال (به انگلیسی: Transverse or axial view) در پزشکی صفحه ایست افقی که بدن یا دید بدن را به قسمتهای پایینی [1] و بالایی[2] تقسیم میکند.[3]

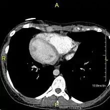
یک تصویر سیتی از قفسه سینه با دید فوقانی-تحتانی.

در حقیقت این دید همان دید مقطعی است که در اکثر تصویرگیریهای سیتیاسکن دیده میشود. گاه به جای واژه "دید" در این موضوع از واژههای "برش" یا "مقطع" یا "صفحه" نیز استفاده میشود .
منابع
- inferior
- superior
- کتاب
The Human Body in Health and Illness. Barbara Herlihy. 3rd Ed. 2007.
صفحهٔ ۸
جستارهای دیگر
This article is issued from Wikipedia. The text is licensed under Creative Commons - Attribution - Sharealike. Additional terms may apply for the media files.