راستقلبی
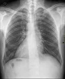
دکستروکاردیا (به انگلیسی: Dextrocardia) یک عارضه مادر زادی است که در آن قلب در سمت راست بدن قرار میگیرد. این عارضه به دو نوع اصلی تقسیم میشود:
- دکستروکاردیا منزوی (به انگلیسی: isolated dextrocardia) که در آن فقط قلب به صورت قرینه و در سمت راست قرار میگیرد.

- دکستروکاردیا سیتوس اینورسوس (به انگلیسی: dextrocardia situs inversus) که در آن علاوه بر قلب، سایر ارگان های قفسه سینه و شکم در حالتی قرینه نسبت به وضعیت اصلی خود دارد.
این وضعیت بخودی خود مشکلی ایجاد نمیکند و فقط هنگام بررسیهای قلبی مانند نوار قلب باید متوجه آن بود. تقریبا از بین هر ۱۲۰۰۰ نفر یک نفر دچرا همچین عارضهای می شود.
پیوند به بیرون
This article is issued from Wikipedia. The text is licensed under Creative Commons - Attribution - Sharealike. Additional terms may apply for the media files.