سارکوم یووینگ
سارکوم یوئینگ (انگلیسی: Ewing sarcoma; /ˈ[invalid input: 'ju:']ɪŋ/) دومین بدخیمی شایع در کودکان است و حدود ۳ درصد سرطانهای اطفال را به خود اختصاص دادهاست.[1]
در گذشته این تومور را اندوتلیومای منتشر استخوان (به انگلیسی:diffuse endothelioma of bone) مینامیدند و آن را محدود به استخوان میپنداشتند ولی در حال حاضر در نواحی خارج استخوان مثل کلیه، روده، تخمدان، واژن و پوست نیز گزارش شدهاست.[2] این تومور اولین بار در سال ۱۹۲۱ توسط جیمز یوئینگ شناسایی شد و در سال ۱۹۶۹ نیز نوع خارج استخوانی آن نیز شناسایی شد.[3]
مطالعات ژنتیک
- تقریباً ۹۰ درصد از بیمارن ترانس لوکاسیون (t(۱۱;۲۲)(q24;q۱۲ را از خود بروز میدهند و توسط تکنیکهای مختلف مانند واکنش زنجیره پلیمراز یا FISH قابل شناسایی است.[2]
- همچنین مارکر CD99 نیز که با روش ایمنوهیستوکمیستری چک میشود نیز از خود بروز میدهند.[4]
مطالعات هیستولوژیک
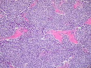
- این سارکوم از تکثیر سلولهای نورواکتودرمال(به انگلیسی:neuroectodermal) کوچک و غیر تمایز یافته تشکیل شدهاست.[4]

نمای میکروسکوپی سارکوم یووینگ.
پانویس
- Ludwig JA.
- Sanati S
- Ozturk E
- Pekala JS
منابع
- Ludwig JA.Ewing sarcoma: historical perspectives, current state-of-the-art, and opportunities for targeted therapy in the future.Curr Opin Oncol. 2008 Jul;20(4):412–8.
-ResultsPanel.Pubmed -RVDocSum
- Sanati S, Lu DW, Schmidt E, Perry A, Dehner LP, Pfeifer JD.Cytologic diagnosis of Ewingsarcoma/peripheral neuroectodermal tumor with paired prospective molecular genetic analysis.Cancer. 2007 Jun ۲۵;۱۱۱(۳):۱۹۲–۹.
-ResultsPanel.Pubmed -RVDocSum
- Ozturk E, Mutlu H, Sonmez G, Vardar Aker F, Cinar Basekim C, Kizilkaya E.Spinal epiduralextraskeletal Ewing sarcoma.J Neuroradiol. 2007 Mar;34(1):63-7
-ResultsPanel.Pubmed -RVDocSum
- Pekala JS, Gururangan S, Provenzale JM, Mukundan S Jr.Pekala JS, Gururangan S, ProvenzaleJM, Mukundan S Jr.AJNR Am J Neuroradiol. 2006 Mar;27(3):580-3.
This article is issued from Wikipedia. The text is licensed under Creative Commons - Attribution - Sharealike. Additional terms may apply for the media files.