سیروز صفراوی
سیروز از نظر پاتولوژی خصوصیات معینی دارد که با مجموعهای از تظاهرات بالینی مشخص همراه است. پارانشیم کبد یک ضایعه مزمن غیرقابل برگشت را نشان میدهد. ابن ضایعات عبارتند از نکروز سلولهای کبدی، کلاپس شبکه حمایتی رتیکولی ومتعاقباٌ تجمع بافت همبند، تغییر شکل بستر عروقی و بازسازی ندولی پارانشیم باقیمانده کبد هستند. این روند پاتولوژیک یک مسیر نهایی شایع در انواع بسیاری از آسیبهای کبدی مزمن میباشد.
| سیروز صفراوی | |
|---|---|
![]() | |
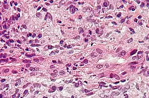
| عکاسی ریزنگاری of primary biliary cirrhosis showing bile duct inflammation and injury. H&E stain. | |
| طبقهبندی و منابع بیرونی | |
| تخصص | پزشکی گوارش |
| آیسیدی-۱۰ | K74.3 |
| آیسیدی-9-CM | 571.6 |
| اُمیم | 109720 |
| دادگان بیماریها | 10615 |
| مدلاین پلاس | 000282 |
| ئیمدیسین | med/223 |
| پیشنت پلاس | سیروز صفراوی |
| سمپ | D008105 |
اگر بیماری یرقان در اثر انسداد مجاری صفراوی مثل تشکیل سنگهای صفراوی یا پیدایش تومور، ناشی شود آن را یرقان انسدادی مینامند. چنین روندی در بلند مدت با تخریب بافت طبیعی کبد منجر به بروز سیروز صفراوی ( Biliary cirrhosis ) میشود . ( به خصوص در مواقعی که سنگ صفرا در مجاری صفراوی قرار داشته باشد ).
سیروز ممکن است با نارسایی کبدی، واریس عروق مری، انسفالوپاتی کبدی، هایپرتانسیون ورید پورت، آسیت و پریتونیت باکتریال همراه باشد .
منابع
- ویکیپدیای انگلیسی
