لاکتوباسیلالس
لاکتوباسیلالس راستهای شامل باکتریهای گرم-مثبت هست که گونه باکتریهای لاکتیک اسید را نیز شامل میشوند. گونههای این رده میتوانند در خاک، آب، بدن گیاهان و جانوران زندگی کنند. گونههای این راسته در تولید لبنیات کاربرد حیاتی دارند و از گونهٔ باکتریهای لاکتیک اسید این راسته در فرایند تخمیر و تولید مشروب وین و همچنین تخمیر کلم شور در پخت ساورکرانت (نوعی غذای آلمانی طبخ شده با کلم) استفاده میشود.
| لاکتوباسیلالس | |
|---|---|
![]() | |
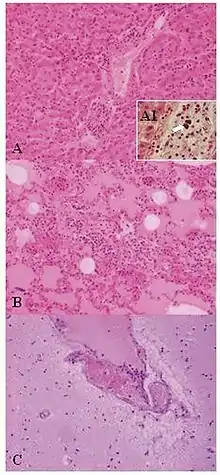
| Lesions of Weissella confusa in the mona monkey (hematoxylin and eosin stain): A) liver: portal triads with neutrophilic infiltration (x10); A1, presence of bacterial emboli inside the vein (arrow) (x40). B) acute pneumonia: edema, congestion, and leukocyte cells exudation in the pulmonary alveoli (x10). C) encephalitis: congestion and marginalized neutrophils in nervous vessels (x10) | |
| آرایهشناسی | |
| فرمانرو: | باکتری |
| دسته: | فیرمیکوتها |
| رده: | باسیل |
| راسته: | لاکتوباسیلالس |
| Families | |
|
Aerococcaceae | |
طبقه بندی راستهٔ لاکتوباسیلالس بر اساس (LSPN)
| لاکتوباسیلالس |
| ||||||||||||||||||||||||||||||||||||||||||||||||||||||||||||||||||||||||||||||||||||||||||||||||||||||||||||||||||||||||
لاکتوباسیلالس قسمت دوم
| لاکتوباسیلالس قسمت دوم |
| |||||||||||||||||||||||||||||||||||||||||||||||||||||||||||||||||||||||||||
سرده باکتریهای لاکتیک اسید
- Abiotrophia
- Aerococcus
- Carnobacterium
- انتروکوک
- لاکتوباسیلوس
- لاکتوکوک
- Leuconostoc
- Oenococcus
- Pediococcus
- استرپتوکوک
- Tetragenococcus
- Vagococcus
- Weissella
