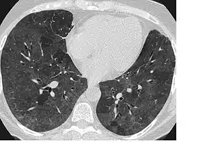
کدورت شیشه مات
در رادیولوژی، نمای گراند گلاس یا کدورت شیشهٔ مات (به انگلیسی: Ground-glass opacity) یک یافتهٔ غیراختصاصی در سیتی اسکن است که به شکل یک کدورت مهآلود خود را نشان میدهد و ساختارهای زیرین خود، برونشها و عروق ریوی، را نامشخص نمیسازد. این نما نشاندهندهٔ پرشدگی قسمتی از فضاهای هوایی ریهها توسط اگزودا یا ترانسودا است، همچنین میتواند بهدنبال ضخیمشدگی بینابینی ریهها یا بر روی هم خوابیدن بخشی از کیسههای هوایی ریه نیز ایجاد گردد.[1] :95

تشخیصهای افتراقی
تشخیص افتراقی نمای گراند گلاس شامل این موارد است: ورم ریوی، عفونتها (از جمله کروناویروس سندرم حاد تنفسی ۲،[2] سیتومگالوویروس و پنومونی پنوموسیسیتیس جیرووسی)، انواع بیماریهای غیر عفونی بینابینی ریه (مانند پنومونیت ازدیاد حساسیت، سندرم هامان-ریچ)، خونریزی آلوئولار منتشر و پنومونی سازمانیافته کریپتوژنیک.[3]
علامت هالهٔ معکوس
علامت هالهٔ معکوس یک کدورت شیشه-مات مرکزی است که توسط شفافیتی متراکم احاطه میگردد. براساس معیار تشخیص این نما، محدودهٔ شفافیت میبایست بیش از سه چهارم دایره را تشکیل دهد و حداقل ۲ میلیمتر ضخامت داشته باشد[4] این نما نشانگر پنومونی سازمانیافته کریپتوژنیک میباشد[5] اما تنها در حدود ۲۰٪ از افراد مبتلا به این بیماری دیده میشود. این نما همچنین میتواند در انفارکتوس ریه دیده شود که نشانگر خونریزی ناشی از این بیماری است،[6] همچنین در بیماریهای عفونی مانند پاراکوکسیدیوئیدومایکوزیس، سل، زایگومایکوزیس و آسپرژیلوزیس و همچنین در گرانولوماتوز وگنر، گرانولوماتوز لنفوماتوئید و سارکوئیدوز نیز قابل مشاهده است.[7]
منابع
- Hodler, J.; von Schulthess, G. K.; Zollikofer, C. L. (2007). Diseases of the Heart, Chest & Breast: Diagnostic Imaging and Interventional Techniques. Berlin/Heidelberg: Springer. p. 95. ISBN 9788847006331.
- Bernheim A, Mei X, Huang M, Yang Y, Fayad ZA, Zhang N, et al. (February 2020). "Chest CT Findings in Coronavirus Disease-19 (COVID-19): Relationship to Duration of Infection". Radiology: 200463. doi:10.1148/radiol.2020200463. PMID 32077789.
- Jannette Collins, MD; Eric J. Stern, MD (1998). "Ground glass opacity on CT scanning of the chest: What does it mean?" (PDF). Applied Radiology. Archived from the original (PDF) on 18 May 2012. Retrieved 1 February 2012.
- Radswiki; et al. "Reversed halo sign (lungs)". Radiopaedia. Retrieved 2 January 2018.
- Brett M. Elicker, W. Richard Webb (2012). Fundamentals of High-Resolution Lung CT: Common Findings, Common Patterns, Common Diseases, and Differential Diagnosis. Lippincott Williams & Wilkins. ISBN 978-1-4698-2479-6.
- Wu, George; Schmit, Berndt; Arteaga, Veronica; Palacio, Diana (2017). "Medical image of the week: pulmonary infarction- the "reverse halo sign"". Southwest Journal of Pulmonary and Critical Care. 15 (4): 162–163. doi:10.13175/swjpcc124-17. ISSN 2160-6773.
- D Karthikeyan (2013). High Resolution Computed Tomography of the Lungs: A Practical Guide. JP Medical Ltd. p. 256. ISBN 9789350904084.