کوریوکارسینوما
کوریوکارسینوما (به انگلیسی: Choriocarcinoma) تومور ناشایعی است که از هر ۲۰۰۰۰ زن حامله در یک نفر دیده میشود. منشا این تومور از بافت جفت میباشد و معمولاً از یک تومور غیر سرطانی جفتی به نام مول هیداتی فرم Hydatid form mole، ناشی میشود. کوریوکارسینوما ممکن است پس از یک حاملگی خارج از رحم اتفاق افتد یا به ندرت پس از تولد نوزاد در صورت باقی ماندن سلولهای جفت ایجاد شود. علامت اصلی بیماری خونریزی واژینال مداوم و مزمن است. در صورت عدم درمان تومور به سرعت رشد نموده، بیماری ابتدا به دیوارههای رحم و سپس به سایر اعضاء مانند کبد منتشر میشود.
| Choriocarcinoma | |
|---|---|
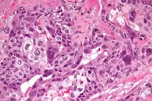
![]() | |
| عکاسی ریزنگاری of choriocarcinoma showing both of the components necessary for the diagnosis - cytotrophoblasts and syncytiotrophoblasts. The syncytiotrophoblasts are multinucleated and have a dark staining سیتوپلاسم. The cytotrophoblasts are mononuclear and have a pale staining cytoplasm. H&E stain. | |
| طبقهبندی و منابع بیرونی | |
| تخصص | سرطان شناسی زنان |
| آیسیدی-۱۰ | C۵۸ |
| آیسیدی-9-CM | 181 |
| آیسیدی-اُ: | M۹۱۰۰/۳-۹۱۰۱ |
| دادگان بیماریها | 2602 |
| مدلاین پلاس | 001496 |
| سمپ | D002822 |
درمان: کوریوکارسینوما معمولاً توسط آزمایش خون یا ادرار با اندازهگیری مقدار هورمون (Human chorionic gonadotropin (HCG تشخیص داده میشود. HCG بهطور طبیعی توسط جفت در زمان حاملگی ساخته میشود، اما مقادیر بسیار بالای این هورمون به دلیل کوریوکارسینوما میباشد. خانمی که حاملگی به شکل مول داشتهاست، در خطر ابتلا به این بیماری میباشد و بهطور مرتب باید اندازهگیری سطوح HCG آنها انجام شود. خانمهایی که خونریزی مداوم و مزمن پس از زایمان، ختم حاملگی یا حاملگی خارج از رحمی دارند نیز باید مقدار هورمون HCG آنها کنترل شود. در صورتی که سطح HCG آنها بالا بود سونوگرافی انجام میشود. در صورتیکه کوریوکارسینوما تأیید شد، آزمایشهای بعدی نظیر CTاسکن شکمی و آزمایشهای خونی برای ارزیابی عملکرد کبد و متاستاز انجام میشود.
کوریوکارسینوما معمولاً با شیمی درمانی معالجه میشود، چه این بیماری به سایر اعضاء گسترش یافته باشد یا نه. اغلب خانمها با درمان ذکر شده بهطور کامل بهبود مییابند.
منابع
- دنفورث بیماریهای زنان و مامایی. تهران
