گلیوما
گلیوما (به انگلیسی: Glioma) یکی ازتومورهای اولیه سیستم عصبی مرکزی است که در نخاع یا مغز بروز میکند و منشا تومور از سلولهای یاخته گلیال است. شایعترین محل تومور گلیوما مغز است.
| گلیوما | |
|---|---|
![]() | |
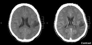
| Glioma in the left parietal lobe (brain CT scan), WHO grade 2. | |
| طبقهبندی و منابع بیرونی | |
| تخصص | سرطانشناسی |
| آیسیدی-۱۰ | C71 |
| آیسیدی-9-CM | 191 |
| آیسیدی-اُ: | M9380/3-۹۴۶۰/۳ |
| دادگان بیماریها | 31468 |
| سمپ | D005910 |
گلیوما ۳۰٪ کل تومورهای سیستم مرکزی عصبی و ۸۰٪ تومورهای بدخیم مغز را تشکیل میدهد.
طبقه بندی
گلیوما را میتوان براساس نوع سلول ، محل یا درجه بدخیمی تقسیم بندی کرد. براساس نوع سلول
- آستروسیتوما ( با منشا آستروسیت)
- اپاندیموما ( با منشا اپندیموسیت)
- الیگودندروسیتوما ( با منشا الیگودندروسیت)
- گلیومای مختلط ( با منشا بیش از یک نوع سلول مغزی که معمولاً شامل آستروسیت و اولیگودندروسیت است. )
- تومورهای شبکه کوروئید
براساس درجه بدخیمی به چهار درجه تقسیم میشوند . تومور با تهاجم و رشد سریع گلیومای درجه بالا است مانند آستروسایتومای آناپلاستیک ؛ تنها راه دقیق تشخیص نوع و میزان بدخیمی تومور با بیوپسی است به این صورت است که معمولاً یک جراح با جراحی قسمتی از تومور را خارج کند . آسترسیتومای گرید چهار گلیوبلاستوم مولتی فرم نامیده میشود.
علائم
علائم تومور بستگی به محل آن دارد و شامل سردرد ، تهوع ، تشنج ، اختلالات اعصاب جمجمه ای ، تاری دید ، تحریک پذیری ، افزایش فشار داخل جمجمه ای و ... میباشد.
