آزبستوز
آزبستوز (به انگلیسی: Asbestosis) عبارت است از التهاب ریهها به علت استنشاق طولانی مدت ذرات آزبست . چون این بیماری اغلب در کارگران صنعتی دیده میشود یک بیماری شغلی محسوب میشود ( شاید مهمترین بیماری شغلی ) .
| آزبستوز | |
|---|---|
![]() | |
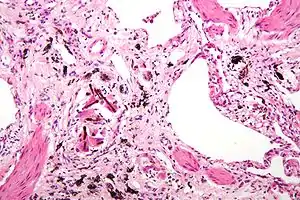
| عکاسی ریزنگاری of asbestosis showing the characteristic ferruginous bodies and marked interstitial fibrosis (or scarring). H&E stain. | |
| طبقهبندی و منابع بیرونی | |
| تخصص | پزشکی ریه |
| آیسیدی-۱۰ | J61 |
| آیسیدی-9-CM | 501 |
| دادگان بیماریها | 928 |
| مدلاین پلاس | 000118 |
| ئیمدیسین | med/171 radio/52 |
| سمپ | D001195 |
علائم بیماری تنگی نفس ( کوتاهی تنفس ) سرفه و افزایش خطر سرطان ریه به خصوص نوع مزوتلیوما هستند . خطر بروز سرطان در مردان سیگاری باز هم افزایش می یابد .
علایم
تنگی نفس، سرفههای بدون خلط و خونی، احساس بیحالی و کسالت عمومی در بدن، بی اشتهایی، آبی شدن ناخنها، درد در ناحیه قفسه سینه، نامنظم شدن خواب و نارساییهای احتمالی قلب[1]
تشخیص و درمان
برای تشخیص مهمترین مسئله شرح حال مواجهه با آزبست است . در ABG ما کاهش اکسیژن خون و در اسپیرومتری کاهش ظرفیت کل ریه ( TLC ) به دلیل فیبروز بافت بینابینی ریه را داریم .
بیماری درمان خاصی ندارد و شاید اکسیژن تراپی، فیزیوتراپی ریوی، ترک سیگار و بخور مفید باشند .
برای کارگرانی که در صنایع آزبست کار میکنند باید بهطور منظم رادیوگرافی سینه انجام شود تا هرگونه سایه غیرطبیعی در ریهها به موقع شناسایی شود .
منابع
- مشارکتکنندگان ویکیپدیا. «Asbestosis». در دانشنامهٔ ویکیپدیای انگلیسی، بازبینیشده در ۴ اکتبر ۲۰۰۹.

