آندومتریت
آندومتریت (به انگلیسی: Endometritis) التهاب آستر رحم (آندومتر) است.[6] آندومتریت شایعترین عفونت پس از زایمان است.[1][7] همچنین این بیماری یکی از بیماریهایی است که اختلال التهابی لگن (PID) را تشکیل میدهند.[8]
| آندومتریت | |
|---|---|
| دیگر نامها | التهاب آستر رحم |
![]() | |
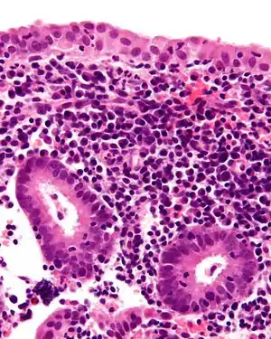
| ریزنگارهای که آندومتریت مزمن را با سلولهای پلاسما مشخص میکند. نوتروفیلهای پراکنده نیز وجود دارند. لکۀ H&E. | |
| تخصص | پزشکی زنان، پزشکی زایمان |
| علامتها | تب، درد زیر شکم و خونریزی یا ترشح غیرطبیعی واژن[1] |
| نوعها | حاد، مزمن[2] |
| علت | عفونت[2] |
| عامل خطر | سقط جنین، قاعدگی، زایمان، دوش واژینال، استفاده از آییودی[2][3] |
| درمان | آنتیبیوتیک[1] |
| پیشآگهی | قابل درمان[4] |
| فراوانی | ۲٪ (زایمان طبیعی)، ۱۰٪ (سزارین برنامهریزی شده)[5] |
آندومتریت به شکلهای حاد و مزمن تقسیم میشود.[2] شکل حاد بیماری معمولاً عفونتی است که در نتیجهٔ سقط جنین یا در دوران قاعدگی، پس از زایمان، در اثر دوش واژینال یا استفاده از آییودی که از دهانهٔ رحم عبور میکند، ایجاد میشود.[2][3] عامل ایجادکنندهٔ آندومتریت پس از زایمان سزارین، پارگی طولانی مدت غشا است.[1] آندومتریت مزمن پس از یائسگی شایعتر است.[2] تشخیص ممکن است با نمونه برداری از آندومتر تأیید شود.[3] سونوگرافی برای تأیید اینکه هیچ بافتی در رحم وجود ندارد، مفید است.[4]
درمان معمولاً با آنتیبیوتیک صورت میگیرد.[1] توصیههای درمانی برای آندومتریت پس از زایمان شامل کلیندامایسین با جنتامایسین است.[9] همچنین آزمایشهای سوزاک و کلامیدیا نیز در افراد در معرض خطر توصیه میشود.[10] حالت مزمن بیماری ممکن است با داکسیسایکلین درمان شود.[10] نتایج درمان بهطور کلی خوب است.[4]
میزان ایجاد آندومتریت پس از زایمان طبیعی حدود ۲٪، پس از سزارین برنامهریزی شده ۱۰٪ و در صورت عدم استفاده از آنتیبیوتیکهای پیشگیرانه هنگام پارگی غشا قبل از سزارین ۳۰٪ است.[5] اصطلاح «آندومیومتریت» هنگامی استفاده میشود که التهاب هم در آندومتر و هم در میومتر (ماهیچهٔ رحم) وجود داشته باشد.[11] این بیماری در سایر جانوران مانند گاو نیز نسبتاً شایع است.[12]
شکلهای بیماری
آندومتریت حاد
آندومتریت حاد با عفونت همراه است. یاختهها و بخشهای زندهٔ جدا شده بیشتر به سقط جنین، زایمان، ابزار پزشکی و احتباس قطعات جفت نسبت داده میشوند.[13] شواهد کافی در مورد استفاده از آنتیبیوتیکهای پیشگیرانه برای جلوگیری از آندومتریت پس از برداشتن جفت بهصورت دستی در هنگام زایمان طبیعی وجود ندارد.[14] از نظر بافتشناسی، در آندومتریت حاد، وجود نوتروفیل در بافت آندومتر ممکن است. نشانههای بالینی معمولاً تب بالا و ترشحات چرکی واژن است. قاعدگی پس از آندومتریت حاد طولانی است و در مواردی که عارضهای نداشته باشد، در حالت کمینه پس از ۲ هفته درمان با آنتیبیوتیکهای کلیندامایسین و جنتامایسین IV بهبود مییابد.
در جمعیتهای خاص، این بیماری با عفونت مایکوپلاسما ژنیتالیوم و بیماری التهابی لگن همراه بودهاست.[15][16]
آندومتریت مزمن
آندومتریت مزمن با وجود سلولهای پلاسما در بستره همراه است. لنفوسیتها، ائوزینوفیلها و حتی فولیکولهای لنفاوی دیده میشوند، اما در نبود سلولهای پلاسما، برای توجیه تشخیص بافتشناسی کافی نیستند. این موارد در ۱۰٪ از نمونهبرداریهای آندومتر برای خونریزی نامنظم قابل مشاهدهاند. شایعترین جانداران، کلامیدیا،[persian-alpha 1] سوزاک،[persian-alpha 2] استرپتوکوک آگالاکتیه،[persian-alpha 3] مایکوپلاسما هومنیس،[persian-alpha 4] سل و ویروسهای گوناگون هستند. بیشتر این جانداران دارای توانایی ایجاد بیماری التهابی لگن مزمن[persian-alpha 5] هستند. بیماران مبتلا به آندومتریت مزمن ممکن است مبتلا به سرطان دهانهٔ رحم یا سرطان مخاط رحم باشند (اگرچه علت عفونی شایعتر است). درمان با آنتیبیوتیک، درمانی است که در بیشتر موارد (بسته به علت اصلی) با تسکین نسبتاً سریع علائم تنها پس از ۲ تا ۳ روز همراه است. زنان مبتلا به آندومتریت مزمن در معرض خطر بالاتری برای از دست دادن بارداری هستند و درمان بیماری نتایج بارداری آینده را بهبود میبخشد.[17][18]
آندومتریت گرانولوماتوز مزمن معمولاً به دلیل سل ایجاد میشود. گرانولومها کوچک، پراکنده و بدون حالت پنیری[persian-alpha 6] هستند و بهدرستی تشکیل نمیشوند زیرا رشد آنها تا ۲ هفته طول میکشد و آندومتر هر ۴ هفته ریزش میکند.
در پزشکی انسانی، پیومترا (که از اهمیت دامپزشکی نیز برخوردار است) نوعی آندومتریت مزمن است که در زنان مسن دیده میشود و باعث تنگی دهانهٔ رحم، تجمع ترشحات و عفونت میشود. نشانهٔ آندومتریت مزمن ترشحات آغشته به خون است اما در پیومترا بیمار از درد پایین شکم شکایت دارد.
پیومترا (فساد رحم)
پیومترا تجمع چرک در حفره رحم را توصیف میکند.[19] برای تشکیل پیومترا، باید در دهانهٔ رحم عفونت و انسداد وجود داشته باشد. علائم و نشانهها شامل درد پایین شکم (سوپراپوبیک)، سفتی، تب و ترشح چرک در هنگام ورود سوند به رحم است. پیومترا با توجه به فرهنگ و حساسیت به آنتیبیوتیک درمان میشود.[20]
یادداشتها
- Chlamydia trachomatis
- Neisseria gonorrhoeae
- Streptococcus agalactiae
- Mycoplasma hominis
- PID
- caseation
منابع
- مشارکتکنندگان ویکیپدیا. «Endometritis». در دانشنامهٔ ویکیپدیای انگلیسی، بازبینیشده در ۲۹ ژانویهٔ ۲۰۲۱.
- "Cover of Hacker & Moore's Essentials of Obstetrics and Gynecology". Hacker & Moore's essentials of obstetrics and gynecology (6 ed.). Elsevier Canada. 2015. pp. 276–290. ISBN 978-1-4557-7558-3.
- Dallenbach-Hellweg, Gisela; Schmidt, Dietmar; Dallenbach, Friederike (2010). Atlas of Endometrial Histopathology. Springer Science & Business Media. p. 135. ISBN 978-3-642-01541-0.
- Lobo, Rogerio A.; Gershenson, David M.; Lentz, Gretchen M.; Valea, Fidel A. (2016). Comprehensive Gynecology E-Book. Elsevier Health Sciences. p. 548. ISBN 978-0-323-43003-6.
- Ferri, Fred F. (2014). Ferri's Clinical Advisor 2015 E-Book: 5 Books in 1. Elsevier Health Sciences. p. 423. ISBN 978-0-323-08430-7.
- Gabbe, Steven G. (2012). Obstetrics: Normal and Problem Pregnancies. Elsevier Health Sciences. p. 1146. ISBN 978-1-4377-1935-2.
- Crum, Christopher P.; Lee, Kenneth R.; Nucci, Marisa R. (2011). Diagnostic Gynecologic and Obstetric Pathology E-Book. Elsevier Health Sciences. p. 430. ISBN 978-1-4557-0895-6.
- Arora, Mala; Walavalkar, Rajalaxmi (2013). World Clinics: Obstetrics & Gynecology: Postpartum Hemorrhage. JP Medical Ltd. p. 237. ISBN 9789350904244.
- "Sexually Transmitted Diseases & Pelvic Infections". Current diagnosis & treatment: obstetrics & gynecology (11 ed.). McGraw-Hill Education. 2012. p. Chapter 43. ISBN 978-0-07-163856-2.
- Mackeen, AD; Packard, RE; Ota, E; Speer, L (2 February 2015). "Antibiotic regimens for postpartum endometritis". The Cochrane Database of Systematic Reviews (2): CD001067. doi:10.1002/14651858.CD001067.pub3. PMC 7050613 Check
|pmc=value (help). PMID 25922861. - "8". Williams Gynecology (3 ed.). McGraw Hill Professional. 2016. ISBN 978-0-07-184908-1.
- Hubert Guedj; Baggish, Michael S.; Valle, Rafael Heliodoro (2007). Hysteroscopy: visual perspectives of uterine anatomy, physiology, and pathology. Hagerstwon, MD: Lippincott Williams & Wilkins. pp. 488. ISBN 978-0-7817-5532-0.
- Noakes, David E. (2009). Arthur's Veterinary Reproduction and Obstetrics E-Book. Elsevier Health Sciences. p. 411. ISBN 978-0-7020-3990-4.
- "Endometritis - Pregnancy Articles". pregmed.org. 21 November 2013. Archived from the original on 3 August 2017. Retrieved 11 April 2018.
- Chongsomchai, C; Lumbiganon, P; Laopaiboon, M (Oct 20, 2014). "Prophylactic antibiotics for manual removal of retained placenta in vaginal birth". The Cochrane Database of Systematic Reviews. 10 (10): CD004904. doi:10.1002/14651858.CD004904.pub3. PMC 7390442 Check
|pmc=value (help). PMID 25327508. - Cohen CR, Manhart LE, Bukusi EA, et al. (March 2002). "Association between Mycoplasma genitalium and acute endometritis". Lancet. 359 (9308): 765–6. doi:10.1016/S0140-6736(02)07848-0. PMID 11888591. S2CID 36191700.
- Ljubin-Sternak, Suncanica; Mestrovic, Tomislav (2014). "Review: Chlamydia trachonmatis and Genital Mycoplasmias: Pathogens with an Impact on Human Reproductive Health". Journal of Pathogens. 2014 (183167): 3. doi:10.1155/2014/183167. PMC 4295611. PMID 25614838.
- Buzzaccarini G, Vitagliano A, Andrisani A, Santarsiero CM, Cicinelli R, Nardelli C, Ambrosini G, Cicinelli E (December 2020). "Chronic endometritis and altered embryo implantation: a unified pathophysiological theory from a literature systematic review". Journal of Assisted Reproduction and Genetics. 37 (12): 2897–2911. doi:10.1007/s10815-020-01955-8. PMID 33025403 Check
|pmid=value (help). - Rimmer MP, Fishwick K, Henderson I, Chinn D, Al Wattar BH, Quenby S (December 2020). "Quantifying CD138+ cells in the endometrium to assess chronic endometritis in women at risk of recurrent pregnancy loss: A prospective cohort study and rapid review". The Journal of Obstetrics and Gynaecology Research. doi:10.1111/jog.14585. PMID 33274569 Check
|pmid=value (help). - "Pyometra". American College of Veterinary Surgeons. 2004. Archived from the original on 2006-02-21. Retrieved 2006-12-14.
- Höglund, Odd Viking; Lövebrant, Johanna; Olsson, Ulf; Höglund, Katja (17 November 2016). "Blood pressure and heart rate during ovariohysterectomy in pyometra and control dogs: a preliminary investigation". Acta Veterinaria Scandinavica. 58 (1): 80. doi:10.1186/s13028-016-0263-y. PMC 5112883. PMID 27855712.
پیوند به بیرون
| طبقهبندی | |
|---|---|
| منابع بیرونی |
