درهمروی روده
درهمروی روده وضعیتی است که در آن بخشی از روده داخل قسمت دیگری از آن میلغزد و درهم فرومیروند. دقیقاً مثل یک تلسکوپ جمع شونده. این وضعیت در اکثر مواقع به انسداد روده منجر شود.
| درهمروی روده | |
|---|---|
![]() | |
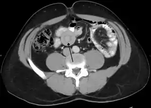
| نمای یک درهم روی روده در سی تی اسکن | |
| طبقهبندی و منابع بیرونی | |
| تخصص | پزشکی کودکان، جراحی عمومی |
| آیسیدی-۱۰ | K38.8, K56.1 |
| آیسیدی-9-CM | 543.9, 560.0 |
| اُمیم | ۱۴۷۷۱۰ |
| دادگان بیماریها | 6913 |
| مدلاین پلاس | 000958 |
| ئیمدیسین | emerg/۳۸۵ |
| سمپ | D007443 |
درهمروی روده یک اورژانس پزشکی محسوب میشود و بیمار باید سریعاً تحت بررسی قرار گیرد.
علائم و نشانهها
نشانههای اولیه میتواند درد دورهای شکمی، تهوع، استفراغ (گاهی اوقات به رنگ سبز ناشی از صفرا)، جمع کردن پاها در ناحیه سینه و درد شکمی متوسط تا شدید باشد. درد به دلیل اینکه انقباضات رودهای به صورت دورهای میباشند، به صورت دورهای ایجاد میشود. علائم دیگر شامل خونریزی از مقعد، اغلب به صورت «مدفوع ژل قرمز» (مدفوع مخلوط با خون و مخاط)، و بی حالی است. در معاینه فیزیکی ممکن است یک توده «سوسیسی شکل» در لمس شکم احساس شود.
کودکان، یا کسانی که قادر به برقراری ارتباط کلامی نیستند، ممکن است با گریه یا با جمع کردن زانو در قفسه سینه علایم را نشان دهند یا ممکن است دچار تنگی نفس شوند.
تب یک نشانه از درهمروی روده نیست. با این حال، درهمروی روده میتواند باعث شود قسمتی از روده در پی فشاری که به شریانهای آن ناحیه میآید دچار ایسکمی شده و نکروز بافتی اتفاق بیافد. این اتفاق ممکن است منجر به سوراخ شدن روده و عفونت شده که تب را بدنبال خواهد داشت.
در موارد نادر، درهمروی روده ممکن است عارضهای از بیماری پورپورای هنوخ شوئن لاین (یک واسکولیت با واسطه ایمنی در کودکان) باشد. چنین بیمارانی متعاقب درهمروی رود اغلب با درد شدید شکم علاوه بر علائم و نشانههای کلاسیک بیماری خودشان تشخیص داده میشوند.
علل ایجاد
علل درهمروی روده هنوز به وضوح ثابت نشدهاست؛ ولی احتمالاً عفونتها، عوامل آناتومیکال، واکسن روتاویروس و تغییر در تحرکات رودهای میتوانند مؤثر باشند.
- دیورتیکول مکل
- پولیپ
- آپاندیس
- هایپرپلازی پچهای پییر
- بیماری ناشناخته
پاتوفیزیولوژی
در شایعترین نوع درهمروی روده، ایلئوم وارد سکوم میشود. با این حال، انواع دیگر نیز رخ میدهد، مانند وقتی که یک بخشی از ایلئوم یا ژژنوم داخل خودشان فرومیروند. تقریباً در تمام مواقع بخش پروگزیمال روده وارد بخش دیستال تر آن میشود چرا که انقباضات روده از سمت پروگزیمال شروع میشود و آن را به داخل بخش دیستال تر هل میدهد. با این حال گزارشهایی نادری از وقوع عکس این پدیده نیز موجود است.
جریان خون بخش به دام افتادهٔ روده ممکن است قطع شود که باعث ایسکمی (کمبود اکسیژن در بافتها) آن ناحیه خواهد شد. مخاط دیواره روده به ایسکمی بسیار حساس است، و در پاسخ به ایسکمی دچار ریزش به درون روده میشود که این پدیده باعث ایجاد «مدفوع ژل قرمز» میشود.
تشخیص
شک به درهمروی روده اغلب بر اساس شرح حال و معاینه فیزیکی، از جمله مشاهده نشانه دنس بوجود میآید. معاینه مقعد توسط انگشت به خصوص در کودکان میتواند مفید باشد، چرا که ممکن است بخش گیر افتاده روده توسط انگشت احساس میشود. تشخیص قطعی اغلب نیاز به تأیید توسط روشهای تصویربرداری تشخیصی دارد. سونوگرافی به علت دقت بالا و نداشتن امواج روش انتخابی برای تشخیص درهمروی روده است.
عکس شکم نیز ممکن است برای رد یا تشخیص وجود انسداد روده یا گاز آزاد داخل حفره شکم گرفته شود.
تشخیص افتراقی
درهمروی روده دو تشخیص افتراقی اصلی دارد: گاستروآنتریت حاد و پرولاپس رکتوم. درد شکم، استفراغ و مدفوع با مخاط و خون در گاستروآنتریت حاد دیده میشوند اما اسهال علامت پیشرو است. پرولاپس رکتوم با لمس مخاط بیرون زده در امتداد پوست مقعد قابل افتراق است در حالی که در درهمروی روده انگشت تا عمق مقعد وارد میشود.
درمان
این وضعیت معمولاً بلافاصله تهدیدکننده حیات نیست. درهمروی را میتوان با انمای باریم یا انما با محلول آبی یا انمای هوا، رفع کرد که هم جنبه تأیید تشخیص دارد و هم در اکثر اوقات جنبه درمان.
مواردی که با انما قابل درمان نیستند یا روده آسیب دیده است باید جراحی شوند. اگر جراج موفق به رهاسازی قسمت به دام افتاده نشود یا بخشی از روده دچار ایسکمی و نکروز شده باشد، آن بخش از روده برش داده میشود.
پیش آگهی
پیش آگهی درهمروی روده در صورتی که به سرعت درمان شود بسیار عالی است ولی اگر سریعاً به بیمار رسیدگی نشود ممکن است به یک اورژانس پزشکی تبدیل شده و در صورت پیش رفت به مرگ بینجامد.
همهگیرشناسی
این وضعیت معمولاً در دوره نوزادی و شیرخوارگی اتفاق میافتد. در ایالات متحده آمریکا شیوع این بیماری حدود یک کودک از هر ۱۹۰۰ کودک در یک سال اول زندگی است.
درهمروی روده در پسران ۳ برابر دختران اتفاق میافتد.
در بالغین درهمروی روده حدود ۱ درصد کل انسدادهای روده را شامل میشود.
منابع
- مشارکتکنندگان ویکیپدیا. «Intussusception». در دانشنامهٔ ویکیپدیای انگلیسی، بازبینیشده در ۴ سپتامبر ۲۰۱۶.
bvvckvxbvcnc
