سندرم شوگرن
نشانگان(سندرم) شوگرن نوعی اختلال التهابی مزمن و وابسته به دستگاه ایمنی است که با اختلال در عملکرد غدد برون ریز (غدد اگزوکرین) و سایر تظاهرات سیستمیک مشخص میشود. این سندروم به دو نوع اولیه و ثانویه تقسیم میشود.
| سندرم شوگرن | |
|---|---|
![]() | |
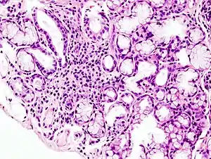
| Histopathologic image of focal lymphoid infiltration in the minor salivary gland associated with Sjögren's syndrome. Lip biopsy. H & E stain. | |
| طبقهبندی و منابع بیرونی | |
| تخصص | ایمنیشناسی، روماتولوژی |
| آیسیدی-۱۰ | M35.0 |
| آیسیدی-9-CM | 710.2 |
| اُمیم | 270150 |
| دادگان بیماریها | 12155 |
| مدلاین پلاس | 000456 |
| ئیمدیسین | med/2136 emerg/537 derm/846 ped/2811 oph/477 oph/695 |
| پیشنت پلاس | سندرم شوگرن |
| سمپ | D012859 |
تظاهرات بالینی
- تظاهرات غددی
- اختلال در عملکرد غدد اشکی: خشکی و تحریکپذیری چشمها، احساس جسم خارجی در چشم، خراشیدگی قرنیه، قرمزی چشم.
- اختلال در عملکرد غدد بزاقی : خشکی دهان، زخمهای دهانی، پوسیدگی دندانها، فیسورها(شیارها)ی زبان و لب، دیسفاژی (دش اوباری یا اختلال در بلع)، ریفلاکس محتویات معده به مری، تورم غدد پاروتید یا غدد ساب مندیبولر.
- اختلال در عملکرد سایر غدد اگزوکرین : دیسپارونیا (یا دش آمیزی)، سوء جذب پانکراسی، پانکراتیت
- تظاهرات غیرغددی
در بیماران مبتلا به شوگرن شیوع لنفوم بالاتر میباشد. لنفومهایی که در بیماران مبتلا به شوگرن ایجاد میشوند، معمولاً نوع لنفوسیتهای بی میباشند و میتوانند در اثر ترانسفورماسیون بدخیم در غدد اگزوکرین درگیر ایجاد شوند یا حتی در بخشهایی ایجاد شوند که از نظر بالینی درگیر نمیباشند (مثلاً در غدههای لنفاوی گردنی). بنابراین در بیمار مبتلا به شوگرن، در موارد زیر حتماً باید به فکر لنفوم بود:
- ایجاد تودهٔ جدید.
- تورم پایدار غددی که با درمان تغییری نمییابند یا خصوصیات آنها تغییر نمیکند.
- علایم سرشتی (constitutional).
تشخیص
برای تشخیص شوگرن باید موارد زیر وجود داشته باشند:
۱- شواهد سابجکتیو و ابجکتیو کراتوکنژنکتیویت سیکا و گزروستومی : برای تأیید کراتوکنژنکتیویت سیکا میتوان از آزمون شیرمر استفاده کرد. در این حالت پس از قرار دادن کاغذ در پلک تحتانی، در مدت ۵ دقیقه کمتر از ۵ میلیمتر از کاغذ مرطوب میشود.
۲- وجود حداقل یکی از اتوآنتی بادیهای زیر: ANA- -RF -Anti-Ro -Anti-La
۳- رد کردن بیماریهای زمینهای که میتوانند شبیه سندروم شوگرن تظاهر کنند
تشخیصهای افتراقی
۱- بیماریهای عفونی : در بیماری که دچار کراتوکنژنکتیویت سیکا است، باید به فکر عفونتهای زیر بود :
-هپاتیت ب، هپاتیت سی -عفونت با ویروس لوسمی سلول Tانسانی -سیفلیس -عفونت با مایکوباکتریومها.
۲- بیماریهای انفیلتراتیو : بیماریهای انفیلتراتیو مثل : سارکوئیدوز، آمیلوئیدوز و هموکروماتوز میتوانند غدد اشکی و بزاقی را درگیر کنند و تظاهراتی شبیه به سندروم شوگرن ایجاد نمایند.
۳- داروها : بسیاری از داروها دارای خواص آنتی کولینرژیک هستند و میتوانند سبب خشکی چشم و دهان شده، علایم سندروم شوگرن را تقلید کنند. از جمله این داروها میتوان به داروهای ضد افسردگی، دکونژستانها و داروهای کاهنده فشار خون اشاره کرد.
درمان
۱- درمان موضعی برای اختلال عملکرد اگزوکرین
الف)گزروفتالمی (خشکی چشم) : اشک مصنوعی، مسدود کردن پونکتومهای اشکی (مجاری تخلیه اشک از چشم). ب)گزروستومی (خشکی دهان) : بزاق مصنوعی، فلوراید، بهداشت مناسب دندانها، پرهیز از مصرف مواد قندی.
ج)دیسپارونی (دش آمیزی یا مقاربت دردناک): استفاده از لوبریکانهای واژینال.
۲- درمان سیستمیک برای اختلال عملکرد اگزوکرین: میتوان از پیلوکارپین استفاده نمود و نیز در صورت امکان از مصرف داروهایی که دارای خواص آنتی کولینرژیک هستند، خودداری کرد.
۳- درمان تظاهرات سیستمیک : داروهای ضد التهاب غیر استروئیدی (NSAIDs)، داروهای ضد مالاریا، گلوکوکورتیکوئیدها، داروهای مهارکننده ایمنی.
منابع
- طب داخلی هاریسون، چاپ :۲۰۰۵
.jpg.webp)