عفونت قارچی
عفونت قارچی (به انگلیسی: Mycosis) عفونت قارچی جانوران از جمله انسان است.[1] عفونتهای قارچی شایع هستند و انواع شرایط محیطی و فیزیولوژیکی متفاوتی میتوانند در ایجاد بیماریهای قارچی نقش داشته باشند. پوییدن هاگهای قارچی یا برخورد موضعی پوست ممکن است باعث عفونت مداوم شود؛ بنابراین عفونتهای قارچی اغلب از ریهها یا سطح پوست شروع میشوند.[2]
| عفونت قارچی | |
|---|---|
![]() | |
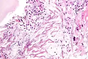
| تصویر میکروسکوپی از یک عفونت قارچی. افشانکچه (که شبیه اسپاگتی است) در مرکز تصویر دیده میشود. | |
| تخصص | بیماری عفونی (تخصص پزشکی) |
عفونت قارچی پوست با آلوده کردن ۹۴۸ میلیون نفر چهارمین بیماری شایع جهان در سال ۲۰۱۰ بود.[3] عفونتهای قارچی بهطور میانگین باعث مرگ ۱٫۶ میلیون نفر در سال میشوند.[4]
دلایل
افرادی که با آنتیبیوتیک درمان میشوند در معرض خطر بیشتری برای ابتلا به عفونتهای قارچی هستند.[5] همچنین افراد دارای سیستم ایمنی ضعیف از جمله مبتلایان به ایدز، افرادی که تحت درمان با استروئید قرار دارند و افرادی که تحت شیمی درمانی قرار میگیرند؛ در معرض خطر ابتلا به عفونتهای قارچی هستند. افراد مبتلا به دیابت نیز مستعد ایجاد عفونتهای قارچی هستند.[6] کودکان و افراد سالخورده نیز از گروههای در معرض خطر هستند.[7] اگرچه همه در معرض ابتلا به عفونتهای قارچی هستند، اما احتمال آن در این گروهها بیشتر است.
کودکانی که سیستم ایمنی بدن آنها به درستی کار نمیکند (مانند کودکان مبتلا به سرطان) در معرض خطر عفونتهای قارچی تهاجمی هستند. داروهای ضد قارچ را میتوان در بروز تب یا هنگامی که یک عفونت تشخیص داده شده باشد، مصرف کرد.[8] تحقیقات نشان میدهد که با آمادهسازی لیپیدی آمفوتریسین B در مقایسه با آمفوتریسین معمولی احتمال آسیب کلیوی کمتر است.
تشخیص
طبقهبندی
عفونتهای قارچی را با توجه به سطح بافتی که در ابتدا کلونی میشوند طبقهبندی میکنند.
- عفونت سطحی
عفونتهای سطحی محدود به بیرونیترین لایههای پوست و مو هستند.[9]
- عفونت پوستی
عفونتهای پوستی عمیقتر و در روپوست گسترش مییابد، این دسته همچنین شامل بیماریهای تهاجمی مو و ناخن نیز میشود.
- عفونت زیرپوستی
عفونتهای زیرپوستی پوست حقیقی، بافتهای زیرپوستی همچون نیام و ماهیچهها را درگیر میکند.
- عفونت بدنی در اثر بیماریزاهای اولیه
عفونتهای بدنی در اثر بیماریزاهای اولیه در ابتدا در ریهها آغاز میشود و ممکن است به بسیاری از اندامهای بدن گسترش یابد.
- عفونت بدنی در اثر بیماریزاهای فرصتطلب
عفونت بدنیهای در اثر بیماریزاهای فرصتطلب عفونت در بیمارانی است که دارای نقص ایمنی هستند و در غیر این صورت آلوده نمیشدند.
پیشگیری
تمیز و خشک نگه داشتن پوست و همچنین حفظ بهداشت مناسب به عفونتهای قارچی موضعی بزرگتر کمک میکند. از آنجا که عفونتهای قارچی مسری است، بنابراین شستشو پس از تماس با سایر افراد یا حیوانات مهم است. لباس ورزشی نیز باید پس از استفاده شسته شود.
درمان
از داروهای ضدقارچ موضعی و سیستمی برای درمان عفونتهای قارچی استفاده میشود. از ضد قارچهای موضعی بسته به شرایطی که تحت درمان قرار میگیرند معمولاً به صورت موضعی یا واژنی تجویز میشوند. ضد قارچهای سیستمیک به صورت خوراکی یا داخل وریدی تجویز میشوند.
همهگیرشناسی
عفونت قارچی پوست با آلوده کردن ۹۴۸ میلیون نفر چهارمین بیماری شایع جهان در سال ۲۰۱۰ بود.[3] عفونتهای قارچی بهطور میانگین باعث مرگ ۱٫۶ میلیون نفر در سال میشوند.[10]
منابع
- "Dorlands Medical Dictionary:mycosis".
- "What Is a Fungal Infection?". Archived from the original on 19 June 2009. Retrieved May 26, 2010.
- Hay, Roderick J.; Johns, Nicole E.; Williams, Hywel C.; Bolliger, Ian W.; Dellavalle, Robert P.; Margolis, David J.; Marks, Robin; Naldi, Luigi; Weinstock, Martin A.; Wulf, Sarah K.; Michaud, Catherine; Murray, Christopher J.L.; Naghavi, Mohsen (Oct 28, 2013). "The Global Burden of Skin Disease in 2010: An Analysis of the Prevalence and Impact of Skin Conditions". The Journal of Investigative Dermatology. 134 (6): 1527–34. doi:10.1038/jid.2013.446. PMID 24166134.
- "Stop neglecting fungi". Nature Microbiology. 2 (8): 17120. 25 July 2017. doi:10.1038/nmicrobiol.2017.120. ISSN 2058-5276. PMID 28741610.
- Britt, L. D.; Peitzman, Andrew; Barie, Phillip; Jurkovich, Gregory (2012). Acute Care Surgery. p. 186. ISBN 978-1-4511-5393-4.
- "Thrush in Men". NHS. Retrieved 2013-07-13.
- "Fungal infections: Introduction". Retrieved May 26, 2010.
- Blyth, Christopher C; Hale, Katherine; Palasanthiran, Pamela; O'Brien, Tracey; Bennett, Michael H (2010-02-17). "Antifungal therapy in infants and children with proven, probable or suspected invasive fungal infections". Cochrane Database of Systematic Reviews. doi:10.1002/14651858.cd006343.pub2. ISSN 1465-1858.
- Malcolm D. Richardson; David W. Warnock (2003). "Introduction". Fungal Infection: Diagnosis and Management. John Wiley & Sons, 2012. p. 5.
- "Stop neglecting fungi". Nature Microbiology. 2 (8): 17120. 25 July 2017. doi:10.1038/nmicrobiol.2017.120. ISSN 2058-5276. PMID 28741610.
- مشارکتکنندگان ویکیپدیا. «Mycosis». در دانشنامهٔ ویکیپدیای انگلیسی، بازبینیشده در ۷ آوریل ۲۰۲۰.
