لولههای منیساز
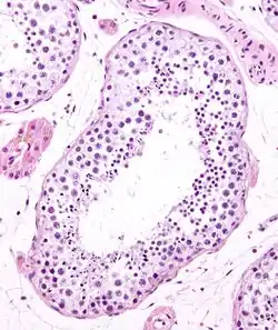
لوله اسپرم ساز لولههایی پیچ خورده در درون بیضه هستند که عمل اسپرمسازی در آنها صورت میگیرد. سلولهایی که در دیواره این لولهها قرار دارند با تقسیمات خود اسپرمهای نابالغ را ایجاد میکنند. این اسپرمهای نابالغ سپس به لوله دیگری به نام اپی دیدیم وارد میشوند و در آنجا بالغ میشوند و توانایی لقاح را پیدا میکنند.
| لولههای منیساز | |
|---|---|
![]() Seminiferous tubule in cross-section (large tubular structure - center of image) with sperm (black, tiny, ovoid bodies furthest from the outer edge of the tubular structure). H&E stain. | |
![]() 1: Testicular septa 2: لولههای منیساز 3: Testicular lobules 4: Straight seminiferous tubules 5: Efferent ductules 6: Rete testis | |
| جزئیات | |
| شناسهها | |
| لاتین | tubuli seminiferi |
| MeSH | D012671 |
| TA98 | A09.3.01.022 |
| TA2 | 3599 |
| FMA | 19825 |
نگارخانه
This article is issued from Wikipedia. The text is licensed under Creative Commons - Attribution - Sharealike. Additional terms may apply for the media files.



