لکوانسفالوپاتی چندکانونی پیشرونده
لکوانسفالوپاتی چندکانونی پیشرونده (انگلیسی: Progressive multifocal leukoencephalopathy) یا به اختصار PML یک بیماری نادر ویروسی و اغلب کشندهٔ مغزی است که مشخصهاش آسیب پیشرونده (-pathy) یا التهاب ماده سفید (leuko-) مغز انسان (-encephalo-) در چندین نقطه و مکان مختلف آن (multifocal) است. عامل ایجاد این بیماری ویروس جیسی است که بهطور معمول در انسان موجود است اما تحت کنترل سیتم ایمنی بدن قرار دارد. ویروس جیسی بیخطر است مگر آنکه سیستم ایمنی تضعیف شود. عموماً میزان مرگومیر ناشی از PML ظرف چند ماه اول ابتلا به آن ۳۰ تا ۵۰٪ است و آنهایی که جان سالم بهدر میبرد، درجات مختلفی از معلولیتهای مغزی-عصبی خواهند داشت.
| لکوانسفالوپاتی چندکانونی پیشرونده | |
|---|---|
![]() | |
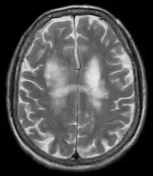
| یک تصویرMRI با وزندهی T2 که لکوانسفالوپاتی چندکانونی پیشرونده را در مغز نشان میدهد | |
| تخصص | عصبشناسی |
این بیماری تقریباً بهطور انحصاری در افرادی رخ میدهد که کمبود ایمنی شدید دارند، بهویژه در مبتلایان به ایدز؛ اما در موارد «سرکوب ایمنی دارویی مزمن» همچون شیمیدرمانی در مبتلایان به لنفوم هاجکین، اماس، پسوریازیس، پیوند اعضاء و سایر بیماریهای خودایمنی هم خطر PML وجود دارد.
علائم و نشانهها
علائم ظرف چند هفته تا چند ماه ظاهر میشوند و بر حسب آنکه ضایعات در کدام قسمت مغز هستند و میزان آسیب تا چه حد است، متغیر هستند. برجستهترین علامت، خامدستی (Clumsiness)، ضعف پیشرونده و تغییرات بینایی، کلامی و شخصیت است.[1] ضایعات لوب آهیانهای و لوب پسسری موجب بروز پدیدهای موسوم به سندرم دست بیگانه میگردند.[2]
دلایل
عفونت ویروس جیسی
علت بروز این بیماری یکی از ویروسهای خانوادهٔ پولیوماویریده بهنام ویروس جیسی (JCV) است. بر پایهٔ مطالعت منتشرشدهٔ اخیر، مابین ۳۹٪[3] تا ۵۸٪[4] از جمعیت عادی پادتنهای ضد آن را در خون دارند که نشان میدهد قبلاً یا در حالِ حاضر به این ویروس آلوده شدهاند. برخی مطالعات دیگر درصد آلودگی جمعیت عادی مردم را بین ۷۰ تا ۹۰٪ میدانند.[5] این ویروس در یک سوم بالغین، عفونت مداوم بدون علامت ایجاد میکند و تنها در صورتی که سیتم ایمنی بدن تضعیف شود، باعت بروز بیماری میگردد.
سرکوب سیستم ایمنی
بیشترین میزانِ شیوع این بیماری در نزد کسانی دیده میشد که به ویروس HIV1 آلوده هستند و پیش از کشف و ارائهٔ درمانهای اچآیوی/ایدز مؤثر و جدید، در حدود ۵٪ از مبتلایان به ایدز در نهایت دچار لکوانسفالوپاتی چندکانونی پیشرونده میشدند.[1] مشخص نیست که چرا این بیماری در بیماری ایدز شایعتر از سایر بیماریهایی است که در آنها ضعف ایمنی وجود دارد. برخی پژوهشها گمان دارند که اثرات ویروس HIV بر روی نسج مغز یا بر روی خودِ ویروس جیسی، احتمال فعالشدن آن در مغز را بیشتر و اثرات التهابی تخریبکنندهاش را افزایش میدهد.[6]
لکوانسفالوپاتی چندکانونی پیشرونده ممکن است در بیمارانی که داروهای سرکوبکننده ایمنی همچون افالیزومب، بلاتاسپت و داروهای پیوند اعضاء مصرف میکنند، رخ دهد.[7]
داروهای درمان اماس
ناتالیزومب در سال ۲۰۰۴ میلادی توسط سازمان غذا و داروی ایالات متحده آمریکا برای درمان اماس تأیید شد. چندی بعد این دارو بهدنبال انتشار گزارشهایی مبی بر احتمال رابطهاش با بروز ۳ مورد لکوانسفالوپاتی چندکانونی پیشرونده، توسط شرکت سازندهاش از بازار دارویی جمعآوری شد.[7] هر سه نفر ناتالیزومب را در ترکیب با داروی اینترفرون بتا-۱ای مصرف میکردند.[7] پس از یک بازنگری ایمنی، دارو مجدداً در سال ۲۰۰۶ به بازار عرضه شد تا بهصورت تکدارویی و تحت یک برنامهٔ تجویزی ویژه و کنترلشده برای درمان اماس بهکار گرفته شود.[7] تا ماه مه ۲۰۱۱ میلادی، ۱۳۰ مورد لکوانسفالوپاتی چندکانونی پیشرونده در کسانی که بیش از ۱ سال از ناتالیزومب استفاده کرده بودند، گزارش شدهاست.[7] هیچیک از اینها، ناتالیزومب را در ترکیب با داروی دیگر استفاده نکرده بودند؛ اما هرگونه مصرف قبلی داروهای ضد اماس، خطر ابتلا به PML را در مصرفکنندگان ناتالیزومب سه تا چهار برابر میکند.[7] شیوع تقریبی لکوانسفالوپاتی چندکانونی پیشرونده در بیماران اماس، ۱٫۵ مورد در هر ۱۰۰۰ نفری است که از ناتالیزومب استفاده میکنند.[7] حدود ۲۰٪ از بیماران اماس که به PML مبتلا شوند، خواهند مُرد و بیشتر کسانی که زنده بمانند، شدیداً دچار معلولیت و ناتوانی میشوند.[7] یک مورد از این بیماری نیز در فردی با اماس که بهمدت چهار سال دیمتیل فومارات استفاده میکرد دیده شد که نهایتاً درگذشت.[8]
داروی فینگولیمود در سال ۲۰۱۰ برای درمان اماس پذیرفته شد. در سال ۲۰۱۵ یک مورد قطعی و یک مورد احتمالی دیگر از PML در مصرفکنندگان فینگولیمود گزارش شد که ربطی به مصرف دارهای قبلیشان نداشت. این احتمال خطر اکنون به اطلاعاتِ دارویی فینگولیمود اضافه شده و در هر بار تجویز، به بیمار گوشزد میشود.[9]
نحوهٔ بیماریزایی
لکوانسفالوپاتی چندکانونی پیشرونده یک بیماری میلینزدا است که طی آن غلاف میلین که روی آسههای یاختههای عصبی را پوشانده، رفتهرفته تخریب میشود و هدایت عصبی طبیعی را در طول آن مختل میکند. این بیماری مادهٔ سفید تحتقشری مغز، بهخصوص در لوبهای آهیانهای و پسسری را آسیب میزند. این بیماری همچنین اولیگودندروسیتها را تخریب نموده و اجسام درونبسته در درون هسته سلول بهجا میگذارد. لکوانسفالوپاتی چندکانونی پیشرونده شباهتهایی به اماس دارد، اما سرعت پیشرفت آن نسبت به اماس بسیار بیشتر است. میزان تخریب میلین متناسب با درجه و شدت سرکوب ایمنی است.[10]
تشخیص
هرگاه بیماری دچار علائم پیشرونده باشد و در مایع مغزی-نخاعی او نشانههایی از دیانای ویروس جیسی باشد و همچنین در تصاویر امآرآی مغز، ضایعات مرتبطِ مادهٔ سفید مشاهده شود، میتوان گفت فرد به لکوانسفالوپاتی چندکانونی پیشرونده مبتلا شدهاست. یک روش تشخیصی دقیق دیگر، بیوپسی مغز است[1] که در آن نشانههای رایج بافتشناسی تخریب میلین، آستروسیتهای غیرعادی و هستههای بزرگ اولیگودندروسیتها و یاختههای گلیال مشاهده میشود و با روشهایی، حضورِ ویروس جیسی اثبات میگردد.[11]
مشخصهٔ خاص لکوانسفالوپاتی چندکانونی پیشرونده در تصاویر سیتی اسکن، ضایعات کمتراکم چندکانونی بدون نیاز به ماده حاجب پرتونگاری و بدن اثرات فشاری است، اما MRI روشِ تشخیصی بسیار حساستری از سیتی اسکن است.[11] شایعترین نقاط درگیر در این بیماری لوب پیشانی، لوب آهیانهای-پسسری هستند، اما همهجای مغز همچون عقدههای قاعدهای، کپسول خارجی و ساختارهای موجود در گودی جمجمهای پسین همچون مخچه و ساقهٔ مغز هم میتوانند درگیر شوند.[11] جالب آنکه اگر لکوانسفالوپاتی چندکانونی پیشرونده ناشی از داروی ناتالیزومب باشد، ضایعت بیشتر به صورت تککانونی بوده و اغلب در لوب پیشانی قرار دارند.[11]
درمان
هیچ دارویی بهطور مؤثر و بیخطر برای مهار یا درمان قطعی عفونت با ویروس جیسی موجود نیست. در نتیجه هدف از درمان، بازگرداندن نقص ایمنی است تا روند بیماری کُند یا متوقف شود. در بیمارانی که سرکوب ایمنی میشوند، این بدان معناست که داروی مصرفیشان باید قطع شود یا آنکه پلاسمای خونشان تعویض شود تا ویروس با سرعت بیشتری از بدن حذف شود.[1]
در بیماران آلوده با ویروس اچآیوی، ممکن است نیاز به آغاز درمانهای مؤثر ضد ویروس (HAART) باشد. در مبتلایان به ایدز اینگونه درمانها موجب افزایش مختصر بقا نسبت به آنانی میشود که درمان ضد ویروس دریافت نمیدارند.[12] برخی بیماران مبتلا به ایدز با درمانهای HAART تا چندین سال زنده ماندهاند.[13] یکی از عواقب نادر و خطرناک درمانهای ضدویروسی مؤثر در بیماران ایدز، بروز «سندرم التهابی بازسازی ایمنی» (IRIS) است که طی آن، بازسازی سیستم ایمنی بدن، موجب آسیب و تخریب بیشتر ناشی از ویروس جیسی میگردد. گرچه IRIS را میتوان با درمانهای دارویی کنترل کرد، اما بروز آن در مبتلایان به لکوانسفالوپاتی چندکانونی پیشرونده بسیار خطرناک است.[14]
داروی سیدوفوویر بهمنظور درمان لکوانسفالوپاتی چندکانونی پیشرونده تحت بررسی و پژوهش بود[15] و تجویز آن در برخی مبتلایان به این بیماری (نه همهٔ آنها) مؤثر بودهاست.
سیتارابین (موسوم به ARA-C) یک داروی شیمیدرمانی است در درمان برخی سرطانها کاربرد دارد. این دارو بهطور آزمایشی در برای بیماران غیر ایدزی لکوانسفالوپاتی چندکانونی پیشرونده بهکار رفته و علائم مغزی-عصبی را در اندکی از بیماران بهبود بخشیدهاست[16] و یک بیمار، عملکرد شناختی (Cognitive function) خود را که در نتیجهٔ این بیماری از دست رفته بود، دوباره بازیافت.[17]
در ماه ژوئن ۲۰۱۰ میلادی، نخستین گزارش موردی از درمان موفقیتآمیز PML با داروی ضد مالاریای مفلوکین که فعالیت ضد ویروسی علیه جیسی دارد، منتشر شد. بیمار از هر گونه ویروس جیسی پاکسازی شد و هیچگونه زوال مغزی-عصبی بیشتر در او مشاهده نشد.[18]
دو گزارش موردی از درمان موفقیتآمیز با اینترلوکین ۲ نیز انتشار یافتهاست.[19] گزارشهایی مبنی بر درمان موفق با میرتازاپین دریافت شده، اما این مورد در کارآزماییهای بالینی ثابت نشدهاست.[20]
برخی داروها در محیطهای آزمایشگاهی و کشت یاخته قادر به نابودی ویروس جیسی هستند، اما درمان مؤثر اثباتشده با آنان در انسان وجود ندارد.[21] به عنوان مثال، مادهٔ شیمیایی «۱-او-هگزادسیلاُکسیپروپیل-سیدوفوویر» (CMX001) ویروس جیسی را در محیطهای آزمایشگاهی سرکوب میکند،[22] اما در دوزهای درمانی رایج اثر سمی و کشنده بر روی ویروس ندارد.[23]
مطابق پژوهشهای تیم تحقیقاتی کتی رضوانی، تزریق لنفوسیتهای تی اختصاصی ویروس بیکی ممکن است در درمان لکوانسفالوپاتی چندکانونی پیشرونده اثربخش باشند؛ هرچند بررسیها و تحقیقات بیشتری در این زمینه لازم است.[24]
پیشآگهی
مابین یک سوم تا نیمی از مبتلایان لکوانسفالوپاتی چندکانونی پیشرونده ظرف چند ماه از بروز آن فوت میکنند. آنها که زنده میمانند دچار ناتوانیهای شدید مغزی-عصبی میشوند.[1]
منابع
- "Progressive Multifocal Leukoencephalopathy Information Page". National Institute of Neurological Disorders and Stroke. National Institutes of Health. 14 February 2014. Archived from the original on 4 January 2015. Retrieved 26 November 2014.
- Panikkath, Ragesh; Panikkath, Deepa; Mojumder, Deb; Nugent, Kenneth (2014). "The alien hand syndrome". Proceedings (Baylor University. Medical Center). 27 (3): 219–220. doi:10.1080/08998280.2014.11929115. PMC 4059570. PMID 24982566.
- Kean, Jaime M.; Rao, Suchitra; Wang, Michael; Garcea, Robert L. (2009). Atwood, Walter J, ed. "Seroepidemiology of Human Polyomaviruses". PLoS Pathogens. 5 (3): e1000363. doi:10.1371/journal.ppat.1000363. PMC 2655709. PMID 19325891.
- Egli, Adrian; Infanti, Laura; Dumoulin, Alexis; Buser, Andreas; Samaridis, Jacqueline; Stebler, Christine; Gosert, Rainer; Hirsch, Hans H. (2009). "Prevalence of Polyomavirus BK and JC Infection and Replication in 400 Healthy Blood Donors". The Journal of Infectious Diseases. 199 (6): 837–46. doi:10.1086/597126. PMID 19434930.
- Laura A. Shackelton; Andrew Rambaut; Oliver G. Pybus; Edward C. Holmes (2006). "JC Virus evolution and its association with human populations". Journal of Virology. 80 (20): 9928–9933. doi:10.1128/JVI.00441-06. PMC 1617318. PMID 17005670.
- Berger, Joseph (2003). "Progressive multifocal leukoencephalopathy in acquired immunodeficiency syndrome: explaining the high incidence and disproportionate frequency of the illness relative to other immunosuppressive conditions". J. Neurovirol. 9 Suppl 1 (2): 38–41. doi:10.1080/13550280390195261. PMID 12709870.
- Kappos, Ludwig; Bates, David; Edan, Gilles; Eraksoy, Mefkûre; Garcia-Merino, Antonio; Grigoriadis, Nikolaos; Hartung, Hans-Peter; Havrdová, Eva; Hillert, Jan; Hohlfeld, Reinhard; Kremenchutzky, Marcelo; Lyon-Caen, Olivier; Miller, Ariel; Pozzilli, Carlo; Ravnborg, Mads; Saida, Takahiko; Sindic, Christian; Vass, Karl; Clifford, David B; Hauser, Stephen; Major, Eugene O; O'Connor, Paul W; Weiner, Howard L; Clanet, Michel; Gold, Ralf; Hirsch, Hans H; Radü, Ernst-Wilhelm; Sørensen, Per Soelberg; King, John (August 2011). "Natalizumab treatment for multiple sclerosis: updated recommendations for patient selection and monitoring". Lancet Neurology. 10 (8): 745–58. doi:10.1016/S1474-4422(11)70149-1. hdl:2078.1/124907. PMID 21777829.
- "Dimethyl fumarate (Tecfidera): Fatal PML in an MS patient with severe, prolonged lymphopenia".
- "FDA Drug Safety Communication: FDA warns about cases of rare brain infection with MS drug Gilenya (fingolimod) in two patients with no prior exposure to immunosuppressant drugs". US Food and Drug Administration. Retrieved 31 December 2018.
- Radswiki. "Progressive multifocal leukoencephalopathy | Radiology Reference Article | Radiopaedia.org". Radiopaedia. Retrieved 2019-03-09.
- Berger JR; Aksamit AJ; Clifford DB; et al. (9 April 2013). "PML diagnostic criteria: consensus statement from the AAN Neuroinfectious Disease Section". Neurology. 80 (15): 1430–8. doi:10.1212/WNL.0b013e31828c2fa1. PMC 3662270. PMID 23568998.
- Wyen, Christoph; Hoffmann, Christian; Schmeier, Norbert; Hoffmann, Andrej; Qurishi, Nazifa; Rockstroh, Jürgen; Esser, Stefan; Rieke, Ansgar; Ross, Birgit; Lorenzen, Thore; Schmitz, Karina; Stenzel, Werner; Salzberger, Bernd; Fätkenheuer, Gerd (2004). "Progressive multifocal leukencephalopathy in patients on highly active antiretroviral therapy: survival and risk factors of death". Journal of Acquired Immune Deficiency Syndromes. 37 (2): 1263–1268. doi:10.1097/01.qai.0000136093.47316.f3. PMID 15385733.
- Gray, Françoise; Salmon, Dominique; Thiebault, Jean Baptiste;; Gasnault, Jacques; Bienvenu, Boris; Vendrely, Aurélie (2005). "Fulminant inflammatory leukoencephalopathy associated with HAART-induced immune restoration in AIDS-related progressive multifocal leukoencephalopathy". Acta Neuropathologica. 109 (4): 449–455. doi:10.1007/s00401-005-0983-y. PMID 15739098.
- Vendrely, Aurélie; Bienvenu, Boris; Gasnault, Jacques; Thiebault, Jean Baptiste; Salmon, Dominique; Gray, Françoise (April 2005). "Fulminant inflammatory leukoencephalopathy associated with HAART-induced immune restoration in AIDS-related progressive multifocal leukoencephalopathy". Acta Neuropathol. 109 (4): 449–55. doi:10.1007/s00401-005-0983-y. PMID 15739098.
- Segarra-Newnham, Marisel; Vodolo, Kristen M (June 2001). "Use of cidofovir in progressive multifocal leukoencephalopathy". Ann Pharmacother. 35 (6): 741–4. doi:10.1345/aph.10338. PMID 11408993.
- Aksamit, A J (August 2001). "Treatment of non-AIDS progressive multifocal leukoencephalopathy with cytosine arabinoside". J. Neurovirol. 7 (4): 386–90. doi:10.1080/13550280152537292. PMID 11517422.
- Langer-Gould, Annette; Atlas, Scott W.; Green, Ari J.; Bollen, Andrew W.; Pelletier, Daniel (July 2005). "Progressive multifocal leukoencephalopathy in a patient treated with natalizumab". N. Engl. J. Med. 353 (4): 375–81. doi:10.1056/NEJMoa051847. PMID 15947078.
- Gofton, T. E.; Al-Khotani, A.; O'Farrell, B.; Ang, L. C.; McLachlan, R. S. (June 2010). "Mefloquine in the treatment of progressive multifocal leukoencephalopathy". J Neurol Neurosurg Psychiatry. 82 (4): 452–455. doi:10.1136/jnnp.2009.190652. PMID 20562463.
- Buckanovich RJ1, Liu G, Stricker C; et al. (July 2002). "Nonmyeloablative allogeneic stem cell transplantation for refractory Hodgkin's lymphoma complicated by interleukin-2 responsive progressive multifocal leukoencephalopathy". Ann Hematol. 81 (7): 410–3. doi:10.1007/s00277-002-0481-4. PMID 12185517.
- Jamilloux, Y; Kerever, S; Ferry, T; Broussolle, C; Honnorat, J; Sève, P (October 2016). "Treatment of Progressive Multifocal Leukoencephalopathy With Mirtazapine". Clinical Drug Investigation. 36 (10): 783–9. doi:10.1007/s40261-016-0433-8. PMID 27401779.
- Ferenczy, MW; Marshall, LJ; Nelson, CD; Atwood, WJ; Nath, A; Khalili, K; Major, EO (July 2012). "Molecular biology, epidemiology, and pathogenesis of progressive multifocal leukoencephalopathy, the JC virus-induced demyelinating disease of the human brain". Clin. Microbiol. Rev. 25 (3): 471–506. doi:10.1128/CMR.05031-11. PMC 3416490. PMID 22763635.
- Gosert, R; Rinaldo, C.H.; Wernil, M; Major, EO; Hirsch, HH (May 2011). "CMX001 (1-O-hexadecyloxypropyl-cidofovir) inhibits polyomavirus JC replication in human brain progenitor-derived astrocytes". Antimicrob. Agents Chemother. 55 (5): 2129–36. doi:10.1128/AAC.00046-11. PMC 3088264. PMID 21402853.
- Rainer, Gosert; Rinaldo, Christine; Wernli, Marion; Major, Eugene; Hirsch, Hans (2011). "CMX001 (1-O-Hexadecyloxypropyl-Cidofovir) Inhibits Polyomavirus JC Replication in Human Brain Progenitor-Derived Astrocytes". Antimicrobial Agents and Chemotherapy. 55 (5): 2129–2136. doi:10.1128/AAC.00046-11. PMC 3088264. PMID 21402853.
- Muftuoglu, Muharrem; Olson, Amanda; Marin, David; et al. (2018-10-11). "Allogeneic BK Virus–Specific T Cells for Progressive Multifocal Leukoencephalopathy". New England Journal of Medicine. 379 (15): 1443–1451. doi:10.1056/nejmoa1801540. ISSN 0028-4793. PMC 6283403. PMID 30304652.
- مشارکتکنندگان ویکیپدیا. «Progressive multifocal leukoencephalopathy». در دانشنامهٔ ویکیپدیای انگلیسی، بازبینیشده در ۲۰ اوت ۲۰۱۹.
پیوند به بیرون
- عفونتهای فرصتطلب مرتبط با HIV-1: لکوانسفالوپاتی چندکانونی پیشرونده در ئیمدیسین
- لکوانسفالوپاتی چندکانونی پیشروندهدر مدلاین پلاس
| طبقهبندی | |
|---|---|
| منابع بیرونی |
| در ویکیانبار پروندههایی دربارهٔ لکوانسفالوپاتی چندکانونی پیشرونده موجود است. |
