نشانگان آنتی فسفولیپید
سندرم آنتی فسفولیپید (به انگلیسی: Aphospholipid syndromenti) یا سندرم آنتی بادی علیه فسفولیپید (به انگلیسی: antiphospholipid antibody syndrome)؛ به اصطلاح: APS یا APLS، یک بیماری خودایمنی است که به علت آنتی بادیهای ضد فسفولیپید ایجاد میشود. APS هم در شریانها و هم در وریدها لخته شدن خون (ترومبوز) را برمیانگیزد؛ علاوه بر این، عوارض مرتبط با بارداری مثل سقط جنین، مرده زایی، زایمان زودرس و پره اکلامپسی شدید ایجاد میکند. برای تأیید تشخیص به یک تابلوی بالینی (یعنی ترومبوز یا عوارض حاملگی)، و دو نتیجه مثبت سرولوژی (شناسایی آنتی بادیهایی مثل آنتی-β۲-گلیکوپروتئین-I در خون) با حداقل سه ماه فاصله، نیاز است.[1][2]
| نشانگان آنتی فسفولیپید | |
|---|---|
![]() | |
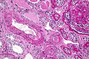
| میکروآنژیوپاتی ترومبوتیک پیشرفته، بیوپسی کلیه، رنگ آمیزی PAS | |
| تخصص | خونشناسی |
سندرم آنتی فسفولیپید ممکن است اولیه یا ثانویه باشد. سندرم آنتی فسفولیپید اولیه در غیاب سایر بیماریهای مشابه اتفاق میافتد، در حالیکه سندرم آنتی فسفولیپید ثانویه همراه با بیماریهای خود ایمنی مانند لوپوس اریتماتوز سیستمیک (SLE) رخ میدهد. در موارد نادر، APS به علت ترومبوز جنرالیزه منجر به نارسایی ناگهانی بعضی ارگانهای بدن مثل کلیه میشود؛ که «سندرم فاجعه آمیز آنتی فسفولیپید» (به انگلیسی: catastrophic antiphospholipid syndrome) نامیده میشود که با خطر بالای مرگ همراه است.
سندرم آنتی فسفولیپید اغلب نیاز به درمان با داروهای ضد انعقاد مانند هپارین برای کاهش خطر ترومبوز و بهبود پیش آگهی حاملگی دارد. وارفارین در دوران بارداری استفاده نمیشود، زیرا بر خلاف هپارین میتواند از جفت عبور کند و تراتوژنیک باشد.[1]
علائم و نشانهها
وجود آنتی بادیهای ضد فسفولیپید (aPL) بدون ترومبوز (لخته خون) یا عوارض مربوط به بارداری، نشان دهنده APS نیست. سندرم آنتی فسفولیپید میتواند باعث تشکیل لختههای خون شریانی یا وریدی، در هر کدام از سیستمهای بدن شود، یا عوارض مرتبط با بارداری ایجاد کند. در بیماران APS، شایعترین حادثه وریدی، ترومبوز ورید عمقی اندامهای تحتانی است و شایعترین حادثه شریانی سکته مغزی است. در زنان باردار مبتلا به APS، خطر سقط مکرر، اختلال رشد داخل رحمی جنین و زایمان زودرس وجود دارد. غالباً علت این عوارض، آنفارکتوس جفت است. در بعضی موارد به نظر میرسد APS با مهار تمایز تروفوبلاستها تحت تأثیر aPL، باعث عقب ماندگی ذهنی یا رشد نوزاد میشود. در بیشتر موارد سقط جنین به ویژه در سهماهه دوم و سوم، نقش سندرم آنتی فسفولیپید در کنار لوپوس اریتماتوز سیستمیک پررنگ دیده شدهاست.[1]
سایر یافتههای شایع، اگرچه جزء معیارهای طبقهبندی APS نیستند، شامل افت پلاکت، بیماری دریچه قلب و لیویدو رتیکولاریس (قرمزی کبودی تورمانند روی پوست) است. همچنین بین آنتی بادیهای ضد فسفولیپید و سردرد و میگرن ارتباط وجود دارد. برخی مطالعات نشان دادهاند که در خون و مایع نخاعی بیماران مبتلا به ناراحتیهای روانی، آنتی بادیهای ضد فسفولیپید وجود دارد.[2]
تعداد بسیار کمی از بیماران مبتلا به APS اولیه ممکن است دچار لوپوس شوند.[1]
عوامل خطر
عوامل خطر ایجاد سندرم آنتی فسفولیپید عبارتند از:
- APS اولیه
- نشانگر ژنتیکی HLA-DR7
- APS ثانویه
- SLE یا سایر اختلالات خودایمنی
- نشانگرهای ژنتیکی: HLA-B8، HLA-DR2، HLA-DR3
- نژاد: سیاهپوست، اسپانیایی، آسیایی و بومیان آمریکایی[1]
آسیب شناسی
نشانگان آنتی فسفولیپید یک بیماری خودایمنی است که در آن "آنتیبادی های ضد فسفولیپید" (آنتی بادی آنتی کاردیولیپین و لوپوس آنتی کوآگولانت) در مقابل پروتئینهایی که به فسفولیپیدهای آنیونی در غشای پلاسما پیوند دارند، واکنش نشان میدهند. مانند بسیاری از بیماریهای خودایمنی، در زنان شایع تر از مردان است. علت دقیق شناخته شده نیست، اما فعال شدن سیستم انعقاد مشهود است. آنتیبادیهای ضد فسفولیپید (که به علت فرایند خود ایمنی به وجود میآیند) با ترومبوز و بیماریهای عروقی مرتبط هستند. این سندروم را میتوان به موارد اولیه (بدون بیماری بیماری زمینه ای) و ثانویه (در ارتباط با حالت بیماری زمینه ای) تقسیم کرد.[1]
یک زیر مجموعه از آنتی بادیهای ضد کاردیولیپین طی فرایندی باعث مهار پروتئین C میشود. لوپوس آنتیکوآگولانت (LAC) به پروترومبین متصل و باعث تبدیل آن به فرم فعال یعنی ترومبین میشود.[1][3]
تشخیص
آزمایشگاهی
آنتی بادی آنتی کاردیولیپین و لوپوس آنتی کوآگولانت[1]
معیارهای تشخیص
تایید APS مستلزم شواهدی از یک یا چند تظاهر بالینی (ترومبوز عروقی یا اختلال مامایی) و تأیید متوالی یک aPL است. معیارهای ساپُرو (به انگلیسی: Sapporo) که به ۱۹۹۹ برمیگردد، در سال ۲۰۰۶ با معیار سیدنی (به انگلیسی: Sydney)جایگزین شدند. بر اساس جدیدترین معیارها، طبقهبندی با APS نیازمند وجود یک تظاهر بالینی و یک یافته آزمایشگاهی است:
بالینی:
یک نتیجه مستند از ترومبوز عروق شریانی، وریدی یا مویرگی - به غیر از ترومبوز وریدی سطحی - در هر بافت یا اندام، بدون وجود شواهد قابل توجه از التهاب در دیواره رگ.
یک مورد یا بیشتر مرگ و میر ناشی از یک جنین با ظاهر طبیعی (که توسط سونوگرافی یا بررسی مستقیم جنین تشخیص داده شدهاست) بعد از هفته ۱۰ بارداری، و یا ۳ یا بیشتر سقط جنین متوالی بدون دلیل قبل از هفته ۱۰ بارداری، و یا حداقل یک تولد نوزاد نارس قبل از هفتهٔ ۳۴ بارداری با ناهنجاری آناتومیک مادرزادی، ناهنجاریهای هورمونی، اختلالات کروموزومی پدر و مادر، اختلال جفت، به علت اکلامپسی و پره اکلامپسی شدید با توجه به تعاریف استاندارد.
منابع
- "Antiphospholipid syndrome". Wikipedia. 2018-11-17.
- "Antiphospholipid syndrome - Symptoms and causes". Mayo Clinic. Retrieved 2018-12-06.
- "Antiphospholipid Syndrome: Practice Essentials, Pathophysiology, Epidemiology". 2018-11-08.
مشارکتکنندگان ویکیپدیا. «Antiphospholipid syndrome». در دانشنامهٔ ویکیپدیای انگلیسی، بازبینیشده در ۹ دسامبر ۲۰۱۸.
