سکته مغزی
سکته مغزی یا اصطلاح دقیق آن حوادث مغزی-عروقی نوعی اختلال نورولوژیک ناگهانی است که در اثر اختلال خونرسانی به ناحیه ای از مغز رخ می دهد.
| سکته مغزی | |
|---|---|
![]() | |
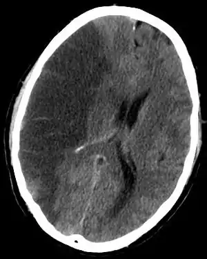
| سیتی اسکن قسمتی از مغز که ایسکمیک ناشی از سکته مغزی را نشان میدهد. | |
| طبقهبندی و منابع بیرونی | |
| تخصص | عصبشناسی، جراحی مغز و اعصاب |
| آیسیدی-۱۰ | I61-I64ner |
| آیسیدی-9-CM | 434.91 |
| اُمیم | ۶۰۱۳۶۷ |
| دادگان بیماریها | 2247 |
| مدلاین پلاس | 000726 |
| ئیمدیسین | neuro/۹ emerg/558 emerg/557 pmr/187 |
| پیشنت پلاس | سکته مغزی |
| سمپ | D020521 |

به بیان دیگر اگر خونرسانی به قسمتی از مغز دچار اختلال شده و متوقف گردد، این قسمت از مغز دیگر نمیتواند عملکرد طبیعی خود را داشته باشد. این وضعیت را اصطلاحاً سکته مغزی مینامند. سکته مغزی میتواند به عللی مانند بسته شدن یا پاره شدن یکی از رگهای خونرسان مغز ایجاد شود که به ترتیب سکته ایسکمیک و سکته هموراژیک نام دارند. سکته مغزی در مردان بیشتر از زنان است.[1]
معمولاً قبل از بروز سکته مغزی علائم هشدار دهندهای وجود ندارد یا اینکه علائم بسیار جزئی هستند. بعد از بروز سکته مغزی بیمار باید بلافاصله در بیمارستان بستری گشته تا از بروز صدمات دائمی به مغز جلوگیری شود. عوارضی که بعد از سکته مغزی ایجاد میشود بستگی به محل سکته و وسعت بافتهای گرفتار شدهٔ مغز دارد. عوارض سکته مغزی از عوارض خفیف و گذرا مثل تاری دید تا عوارض فلجکننده دائمی یا حتی مرگ را شامل میشود.
اگر این علائم در طول ۲۴ ساعت از بین بروند، این وضعیت را اصطلاحاً حمله ایسکمی گذرا (transient ischemic attack)مینامند که یک علامت هشدار دهنده از یک سکته مغزی احتمالی در آینده میباشد. سکته مغزی سومین عامل مرگ و میر در جهان است.[2]
آمار سکته مغزی در ایران چندان مناسب نیست. پزشکان ایرانی میگویند افراد در ایران ۱۰ سال زودتر از سایر کشورها به سکته مغزی مبتلا میشوند. متخصصان کمتحرکی، مصرف بیرویه نمک و چربی، چاقی، استعمال دخانیات و در مجموع رژیم نامناسب غذایی را عاملی برای حرکت به سمت سکتههای مغزی ایرانیان میدانند.[3] بر اساس آمار میدانی سکتههای مغزی در مردان ایرانی ۲۵ درصد بیشتر از زنان است.[4] دبیر انجمن سکته مغزی ایران اعتقاد دارد که این سکته به عنوان دومین عامل مرگ و میر در ایران و برخی از کشورهای در حال پیشرفت شناخته شده است.[5]
پژوهشها نشان میدهند اگرچه اشراف بر زبان دوم احتمالاً بی ارتباط با سلامت فیزیکی به نظر میرسد، اما ظاهراً این مهارت از مغز در برابر آسیبهای ویرانگر به عملکردهای مغزی محافظت میکند و افرادی که در سخن گفتن به دو زبان مهارت دارند، احتمال بهبودی و درمان آنها در صورت بروز سکته مغزی، دو برابر دیگران است.[6]
انواع سکته مغزی
حدود ۸۵٪ از تمام موارد سکتههای مغزی بر اثر بسته شدن یک شریان مغزی با یک لخته خون (ترومبوز که اصلیترین عامل تشکیل آن آزار آندوتلیوم است) که به آن سکته مغزی ایسکمیک گفته میشود.
از تمام موارد سکتههای مغزی بر اثر بسته شدن یک شریان مغزی با یک لخته خون که به آن اصطلاحاً ترومبوز مغزی گفته میشود ایجاد میگردد. دیگر عوامل عمده سکته مغزی را آمبولی مغزی و خونریزی مغزی تشکیل میدهند.
آمبولی مغزی وقتی رخ میدهد که تکهای از یک لخته خون که در جای دیگر بدن مثل قلب یا رگ اصلی گردن ساخته شده، خود را از طریق جریان خون به یکی از شریانهای خونرسان مغز برساند و در آنجا گیر کند. حدود یک چهارم از سکتههای مغزی بر اثر آمبولی مغزی بروز میکنند. خونریزی مغزی باعث حدود ۱۵٪ سکتههای مغزی میباشد بر اثر پاره شدن یکی از شریانهای مغز ایجاد میشود. در این موارد خون بر روی بافتهای اطراف آن ریخته میشود.
لختههای خونی که باعث ترومبوز و آمبولی مغزی میشوند احتمال زیادی دارند که در یک شریانی که بر اثر آترواسکلروسیس آسیب دیدهاست ساخته شده باشند. تصلب شراین وضعیتی است که در آن دیواره رگها بر اثر رسوب چربی سفت میشود. عواملی که باعث افزایش احتمال ایجاد تصلب شراین میشود عبارتند از سیگار کشیدن، مصرف زیاد چربی در رژیم غذایی، دیابت و وجود مقدار زیادی چربی در خون.
محققان آلمانی نوعی پروتیین در عروق مغزی را کشف کردند که بر خطر ابتلا به سکته مغزی تأثیر میگذارد. دیواره مویرگهای خونی مغز نسبت به دیگر مویرگهای بدن، تفاوت دارد. سلولهای عصبی مغز، به جای آنکه مانند دیگر سلولهای بدن، از طریق نشت غیرفعال مواد غذایی از مویرگها، تغذیه شوند بهطور فعالانه، توسط مولکولهایی که از عروق خونی جابهجا شدهاند، تغذیه میکنند.
سد مویرگی خونی در مغز، بسیار مهم است زیرا نقشی محافظتی دارد و در صورتی که این سد دچار اختلال شود، خطر بروز سکته مغزی و دیگر مشکلات مغزی افزایش مییابد. برای رشد و نمو مویرگهای خونی، سلولهای ویژهای به نام پری سیتها (pericytes) نیاز است که این سلولها در مغز، پروتیینی ویژه به نام FoxF2 دارند. این پروتیین فقط در پری سیتهای مغزی یافت میشود. محققان دانشگاه گوتنبرگ آلمان متوجه شدند که وجود این پروتئین، به کاهش خطر بروز سکته مغزی کمک میکند.[7]
آمبولی مغزی ممکن است بر اثر اختلال در ریتم ضربان قلب، اختلالات دریچهای قلب یا سکته قلبی که به تازگی رخ دادهاست، ایجاد شود که تمام این موارد میتوانند باعث ساخته شدن لخته خون در قلب شوند. خطر بروز آمبولی مغزی، ترومبوز مغزی و خونریزی مغزی با بالا رفتن فشار خون افزایش مییابد. در بیماری سلول داسی شکل (سیکل سل) که یک ناهنجاری گلوبولهای قرمز خون میباشد، بخاطر شکل گلبولهای قرمز که به صورت داس در میآیند و احتمال چسبیدن به هم و گیر کردن در عروق خونی را دارند، خطر ترومبوز مغزی افزایش مییابد. گاهی ترومبوز ممکن است بر اثر تنگ و باریک شدن شریانهای خون رساننده به مغز بخاطر التهاب ایجاد گردد. التهاب شریان ممکن است به علت وجود یک بیماری خود ایمن مثل پلی آر تریت ندوزا ایجاد شود. در این بیماری سیستم ایمنی بدن به بافتهای سالم بدن حمله میکند.
در سکتههای مغزی خونریزی دهنده که ناشی از پاره شدن یک رگ خونی در داخل یا سطح مغز میباشند وقتی که یک رگ خونی پاره میشود، دیگر حس به سلولهای مغزی نمیرسد، به علاوه نشت خون از رگ پاره شده، میتواند به بافت مغزی آسیب جدی وارد نماید.[8]
علایم سکته مغزی
در بیشتر افراد علایم سکته مغزی به سرعت و در عرض چند ثانیه یا چند دقیقه بعد از وقوع سکته خود را نشان میدهند. علایم هر سکته مغزی بستگی به قسمتی از مغز دارد که دچار گرفتاری شدهاست. این علایم امکان دارد شامل موارد زیر گردد:
- ضعف و کرختی صورت و بازوها یا پاها به خصوص در یک طرف بدن (همی پارزی)
- فلج صورت. بازو و پاها در همان طرف (همی پلژی)
- عدم تعادل و لنگ زدن (آتاکسی)
- اختلال در تکلم یا در درک کلام (دیس آرتری)
- اشکال در بلع (دیس فاژی)
- کرختی و سوزش قسمتهای بدن-اشکال در درک وضعیت و موقعیت (پارستزی)
- دو بینی-تاری دید یا از دست دادن بینایی به خصوص در یک چشم
- سردرد شدید و ناگهانی
- از دست دادن حافظه کوتاه مدت و طولانی مدت-اختلال در قضاوت
- سرگیجه بدون دلیل و سقوط ناگهانی
- بیاختیاری ادرار و مدفوع
- اشکال در پیدا کردن کلمات و فهمیدن آن چیزی که دیگران میگویند.
- عدم توانایی در انجام حرکات ظریف.
اگر سکته مغزی شدید باشد، قسمتهایی از مغز که کنترل تنفس و فشار خون را بر عهده دارند ممکن است گرفتار شده یا اینکه ممکن است شخص به اغماء رفته و نتایج مرگباری را به دنبال داشته باشد.
نحوه درمان

درمان اولیه پس از وقوع یک سکته مغزی شامل تحت نظر گرفتن دقیق فرد و انجام اقدامات پرستاری برای محافظت راه تنفسی او میباشد. اگر در سی تی اسکن دیده شد که یک لخته خون در شریان وجود دارد، باید فوراً با استفاده از داروهای ترومبولیتیک اقدام به حل کردن آن نمود. این درمان ممکن است باعث بهبود عواقب سکته مغزی بشود اما در هر موردی نباید آن را بکار برد، زیرا باعث افزایش خطر بروز خونریزی در مغز میشود.
انجام درمان طولانی مدت برای کاهش خطر وقوع سکتههای مغزی بعدی بستگی به این دارد که علت ایجاد این سکته مغزی چه بودهاست. یکی از راههای درمان سکته مغزی ناشی از انسداد عروق، حل کردن لخته مسدودکننده رگ است. این کار با استفاده از دارویی به نام Alteplase یا به اختصار tPA انجام میشود. «البته tPA خطراتی هم دارد برای مثال tPAبعد از اثرگذاری و عمل ترومبولیز به درون مغز ترواش میکند و به دلیل نیمه عمر بالا و پروتئاز بودن روی پروتئین سازنده عروق خونی PDGF_CC اثر میگذارد و سپس روی گیرنده آن اثر میگذارد و سرانجام سازوکاری که از مغز در مقابل سموم محافظت میکرد (سد خونی مغزی یاBBB) مختل میکند و ادم وازوژنیک را به وجود میآورد به علاوه باعث پارگی عروق مغزی در آن ناحیه میشود. tPAفعالکنندهٔ پروتئین پلاسمینوژن است که در کبد ساخته شده و ترشح میشود اما در زمان سکته مغزی-قلبی یا ترشح نمیشود یا کم ترشح میشودکه باعث کاهش زمان درمان میشود. هر قدر این درمان سریعتر انجام شود نتیجه بهتری دارد و حداکثر ظرف چهار ساعت و نیم از شروع سکته مغزی قابلیت تزریق وجود دارد. هر قدر تزریق از شروع سکته به تأخیر بیفتد احتمال بروز خونریزی مغزی بدنبال این درمان بیشتر میشود. این دارو از طریق ورید بازویی یا داخل شریانی تزریق میشود. اگر زمان فوق از دست برود و علت سکته آمبولی یا ترومبوز عروق مغزی بودهباشد، داروهایی مثل آسپیرین یا وارفارین تجویز میشود تا با رقیق کردن خون از وقوع لختههای خون جلوگیری کند. اگر مشخص شد که یک شریان دچار تنگی شدهاست ممکن است با جراحی بتوان آن را باز نمود. بعد از بروز یک سکته مغزی که علتش خونریزی و پاره شدن یک شریان بودهاست، درمان بر روی زمینهٔ ایجادکننده آن متمرکز میشود. درمان طولانی مدت آن ممکن است شامل تجویز داروهای ضد فشار خون باشد تا فشار خون را پایین آورده و از احتمال خونریزیهای بعدی جلوگیری کند. اگر سکته مغزی بر اثر التهاب شریان باشد ٬داروی کورتون دار تجویز میشود.

در بیشتر موارد سکتههای مغزی، درمانهای توانبخشی مثل فیزیوتراپی، کاردرمانی و گفتاردرمانی چه در بیمارستان و چه در خانه ضروری میباشد. بدون شک یکی از مهمترین مراحل درمانی بیماران سکته مغزی توانبخشی تحت نظر یک تیم توانبخشی است که اعضای تیم شامل متخصص طب فیزیکی و توانبخشی، کاردرمانگر فیزیوتراپیست ارتوپدی فنی، شنواییشناس، گفتار درمان، بیناییشناسی روانشناس، کارشناس تغذیه، پرستار توانبخشی مددکار اجتماعی و خانه ساز (home maker)میباشد. یکی از روشهای جدیدی که در توانبخشی و درمان بیماران سکته مغزی استفاده شدهاست استفاده از تحریک غیر تهاجمی مغز میباشد که شامل دو تکنولوژی تحریک مغناطیسی مغز یا rTMS و تکنولوژی تحریک الکتریکی مغز یا «تی دی سی اس» میباشد در بررسی بازبینی مقالات که توسط انجمن نوروفیزیولوژی بالینی[9] در سال ۲۰۰۹ انجام شده و در ژورنال نوروفیزیولوژی بالینی[10] به چاپ رسیدهاست به مطالب زیر اشاره شدهاست. در روش تحریک مغناطیسی مغز تحریک سلولهای مغزی برای اصلاح عملکرد سلولهای مغزی از طریق افزایش خاصیت نوروپلاستیسیتی مغز انجام میشود این روش بسیار کم عارضه بوده و توسط پزشکان متخصص طب فیزیکی و توانبخشی یا مغز و اعصاب انجام میشود. در این روش یا به کمک القای با فرکانس بالا نیمکره صدمه دیده تحریک میشود یا به کمک القای با فرکانس پایین فعالیت نیمکره سالم کم میشود که در نتیجه آن فعالیت نیمکره صدمه دیده زیاد میشود. این روش در بازگشت عملکرد دست بهبود گفتار کاهش درد و بهبود عملکرد بیماران مؤثر بودهاست. این روش درمانی اولین بار در ایران توسط مرکز تخصصی توانبخشی سکته مغزی تبسم و سپس مرکز آموزشی و درمانی فیروزگر وابسته به دانشگاه علوم پزشکی ایران در سال ۱۳۸۶ و سپس در مرکز جامع توانبخشی سکته مغزی دکتر محمودی در شیراز در سال ۱۳۸۷ مورد استفاده برای درمان بیماران سکته مغزی قرار گرفت.
تغییر عادات و نحوه زندگی مثل کم کردن میزان چربی در رژیم غذایی ترک کردن استعمال دخانیات میتوانند باعث کاهش خطر بروز یک سکته مغزی دیگر آینده شوند. پیشبینی عاقبت یک سکته مغزی بسیار دشوار است و بستگی زیادی به عوامل ایجادکنندهی آن دارد. معمولاً یک سوم افراد بعد از سکته مغزی به بهبودی کامل یا نسبتاً کامل دست مییابند. یک سوم دیگر از افراد نیز دچار ناتوانیهایی به صورت دائمی میشوند. اگر مشکلاتی که برای افراد بعد از سکته مغزی ایجاد شد در طول ۶ ماه بهبود نیابد احتمالاً این مشکلات دائمی خواهند بود. حدود ۲۰٪ از افرادی که دچار سکته مغزی میشوند در عرض یک ماه فوت میکنند.
تشخیص زودهنگام این عارضه میتواند کمک چشمگیری به جلوگیری از آن یا کاهش آسیبهای سکته مغزی داشته باشد. بتازگی محققان دانشگاه کورنل آمریکا با استفاده از یک روش جدید، زمان تشخیص را به ۱۰ دقیقه کاهش دادهاند. در این روش، محققان یک آنزیم را به نانوذرات متصل کرده و وارد جریان خون میکنند. زمانی که آنزیم وارد جریان خون میشود، روشن شده و محققان با استفاده از آن میتوانند نشانگر زیستی ایجاد شده بر اثر آسیبهای مغزی را مشاهده کنند.[11]
منابع
- خطر بروز سکته مغزی در زنان بیشتر از مردان است . [خبرگزاری جمهوری اسلامی(ایرنا) http://www.irna.ir]
- سکته مغزی چیست؟-تبیان
- افراد در ایران 10 سال زودتر از بقیه کشورها به سکته مغزی مبتلا میشوند . [خبرگزاری جمهوری اسلامی(ایرنا) http://www.irna.ir]
- سکتههای مغزی در زنان 25 درصد بیشتر از مردان است . [خبرگزاری جمهوری اسلامی(ایرنا) http://www.irna.ir]
- سکته مغزی دومین عامل مرگ و میر در ایران
- تسلط به زبان دوم شانس بهبودی بیماران سکته مغزی را افزایش میدهد . [خبرگزاری جمهوری اسلامی(ایرنا) http://www.irna.ir]
- پروتیین عامل سکته مغزی شناسایی شد . [خبرگزاری جمهوری اسلامی http://www.irna.ir]
- «سکته مغزی ایسکمیک و سکته مغزی خونریزی دهنده». vista.ir. ۲۰۱۴-۱۰-۲۰. دریافتشده در ۲۰۱۴-۱۰-۲۳.
- (International federation of clinical neurophysiloy)
- (Clin Neurophysiol (2009) ,doi:10.1016/jclinph.2009.08.016
- تشخیص سکته مغزی در 10 دقیقه . [خبرگزاری جمهوری اسلامی(ایرنا) http://www.irna.ir]
- پاسخهای ساده به پرسشهای شما درباره سکته مغزی (وب سایت مرکز تخصصی توانبخشی سکته مغزی تبسم)
- سکته مغزی چیست؟-همشهری آنلاین تاریخ بازدید:۷دی ۱۳۸۷
- گوناگون
- سایت آفتاب
- پارسات
- سکته مغزی ٬دکتر تونی اسمنیت ٬ترجمه از دکتر فرهاد همت خواه، انتشارات عصر کتاب ۱۳۸۶.
