فتق مغزی
فتق مغزی(به انگلیسی: Brain herniation) زمانی رخ میدهد که بافت مغزی، مایع مغزی نخاعی∗ و رگهای خونی، در موقعیتی دور تر از مکان اصلی خود قرار گیرند یا درون ساختار جمجمهای فشرده شوند.[1]
- هرنی مغزی با اثر جمعی تعدادی از عوامل افزاینده فشار، یک عارضه جانبی مرگبار محسوب شده که میتواند باعث افزایش فشار داخل جمجمهای ∗ گردد.
| هرنی مغزی | |
|---|---|
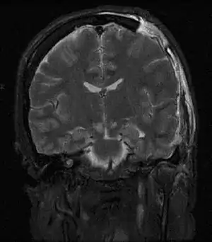
![]() | |
| امآرآی آسیبی را که هرنی مغزی وارد ساخته، نشان میدهد. | |
| طبقهبندی و منابع بیرونی | |
| تخصص | عصبشناسی، جراحی مغز و اعصاب |
| آیسیدی-۱۰ | G۹۳.۵ |
| آیسیدی-9-CM | 348.4 |
| مدلاین پلاس | 001421 |
| ئیمدیسین | radio/۹۸ |
عوامل ایجاد کننده
شماری از عوامل در ایجاد این عارضه:[2][3]
- سکته مغزی و ادم مغزی
- هیدروسفالی
- ترومای مغزی
- تومور مغزی∗
- خونریزی
- آبسه
نشانگان ∗
فردی با هرنی مغزی، دارای چندین نشانه میباشد.
- هایپرتانسیون
- تنفس نامنظم
- نبض نامنظم[4][5]
- استفراغ نیز میتواند با توجه به در معرض فشار قرار گرفتن مرکز استفراغ در ناحیه پوسترما∗ در پیاز مغز ∗ رخ دهد.

رده بندی
دو نوع هرنی مغزی وجود دارد: بالای چادرینه و پایین چادرینه.
- هرنی چادرینه فوقانی، از ساختار بالاتر و پایین تر از شکاف چادرینه تشکیل میشود.
- اندام قدامی از شکنج هیپوکامپ(جابجایی رو به پایین از ساختار و به مجاور شکاف چادرینه)
- مرکزی
- سینگولیت (قشر مغزی در شکنج داخلی بین دو نیم کره مغز)
- فتق خارجی در اثر فشار مغزی رو به بیرون (در جراحی که یک قطعه از جمجمه برداشته شده و دیگر جایگزین نشده)
هرنی چادرینه زیرین
- هرنی لوزهای
- بسمت بالا (بسمت بالای مخچه)
پانویس
منابع
- David C. Dugdale, III, MD, Professor of Medicine, Division of General Medicine (2012/29/8). "Brain herniation". Medline Plus. Retrieved 2013 20 May. Check date values in:
|تاریخ بازبینی=, |تاریخ=(help) - "Brain herniation". THE FREE DICTIONARY. Retrieved 2013 19 May. Check date values in:
|تاریخ بازبینی=(help) - ساداتی، لیلی. گلچینی، احسان (۱۳۹۰)، «سوم»، تکنولوژی جراحی و اعصاب، جامعهنگر، ص. ص٫۶۸، شابک ۹۷۸۶۰۰۱۰۱۱۳۹۹
- "Brain herniation". Medline Plus. 2012/29/8. Retrieved 2013 19 May. Check date values in:
|تاریخ بازبینی=, |تاریخ=(help) - Kristi Hudson RN MSN CCRN. "Signs and symptoms from Cingulate Herniation are not well defined, but thought to include:". Retrieved 2013 20 May. Check date values in:
|تاریخ بازبینی=(help)
- مشارکتکنندگان ویکیپدیا. «Brain herniation». در دانشنامهٔ ویکیپدیای انگلیسی، بازبینیشده در ۳۰ اردیبهشت ۱۳۹۲.
پیوند به بیرون
| در ویکیانبار پروندههایی دربارهٔ فتق مغزی موجود است. |
This article is issued from Wikipedia. The text is licensed under Creative Commons - Attribution - Sharealike. Additional terms may apply for the media files.
