هیدروسفالی
هیدروسفالی(به انگلیسی: Hydrocephalus) در پزشکی به وضعیتی گفته میشود که مایع مغزی-نخاعی تولید شده در شبکه کوروئید٬ بیش از اندازه در بطنهای مغزی و دیگر حفرههای مغز انباشته گردد و منجر به افزایش حجم آنها شود. این افزایش حجم اشغال شده توسط مایع در سیستم عصبی مرکزی و بویژه مغز میتواند ناشی از اختلال در توزیع٬ تشکیل٬ جریان یا جذب مایع مغزی-نخاعی باشد و پیآمد آن افزایش فشار درون جمجمه و آسیبهای مغزی و حتی مرگ است. هیدروسفالی در کودکان زیر دو سال بهخاطر بازبودن سوچورهای کرانیکال(درزهای استخوان جمجمه) منجربه بزرگ شدن غیرطبیعی جمجمه شده ولی در بزرگسالان با اختلال در راه رفتن و حافظه نمود میابد. هیدروسفالی در کودکان بیشتر بعلت ناهنجاری مادرزادی کیاری*٬ تنگی در مجرای مغزی(سیلویوس) مادرزادی یا خونریزی و عفونت نوزادی داخل بطنی پدید میآید. بزرگ شدن بالای سر همراهبا نازک شدن استخوانهای جمجمه و جدا شدن سوچورها و در موارد پیشرفتهتر آتروفی اپتیک و اختلال در حرکت چشمها و مشکل در تعادل و راه رفتن کودک٬ دیده میشود.
| هیدروسفالی | |
|---|---|
![]() | |
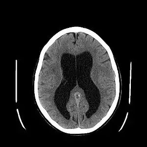
| سیتی اسکن از مغز دچار هیدروسفالی. | |
| طبقهبندی و منابع بیرونی | |
| تخصص | ژنشناسی پزشکی، عصبشناسی |
| آیسیدی-۱۰ | G91, Q03 |
| آیسیدی-9-CM | 331.3, 331.4, 741.0, 742.3 |
| دادگان بیماریها | 6123 |
| مدلاین پلاس | 001571 |
| ئیمدیسین | neuro/161 |
| پیشنت پلاس | هیدروسفالی |
| سمپ | D006849 |
نشانه و علتها
علائم در سنین مختلف متفاوت است در شیرخواران به صورت افزایش سریع در اندازه دور سر یا بزرگ شدن غیر طبیعی اندازه سر باشد. در کودکان و بالغین شامل علایم افزایش فشار درونجمجمه مانند سردرد٬ استفراغ٬ تهوع٬ خیز پاپی٬ انحراف چشمها به پایین٬ اختلال در تعادل٬ عدم هماهنگی اختلال در شناخت٬ کاهش حافظه٬ خوابآلودگی یا کما میباشد. علائم بالینی در هیدروسفالی با مزمن شدن تفاوت میابد. دیلاتاسیون و گشادی نوع حاد بطنی بیشتر خودرا با علائم غیراختصاصی و علائم افزایش فشار درونجمجمهای نشان میدهد. در مقابل ممکن است دیلاتاسیون نوع مزمن(به ویژه در افراد مسن) بدون نشانه و بی سروصدا مثلاً با سهگانه حکیم(تریاد آدامز) آغاز شود. تریاد آدامز یا سهگانه حکیم شامل سه نشانه است: بیاختیاری در ادرار٬ اختلال در راه رفتن٬ گیجی و منگ بودن و در زبان عام با نام خیس٬ لرزان٬ دیوانه نیز عنوان میگردد.
در نوزادان که هیدروسفالی اغلب بدنبال انسدادهای مادرزادی در مسیر مایع مغزی نخاعی بروز میکند، مهمترین علامت بزرگ شدن غیر عادی سر است. گاهی نوزادان دچار استفراغ نیز میشوند. در سنین بزرگتر بدلیل آنکه استخوانهای سر به یکدیگر چسبیدهاند، افزایش مایع مغزی نخاعی باعث افزایش فشار داخل جمجمه شده و بیمار دچار سردرد میشود. استفراغ و اختلال بینایی نیز بدنبال افزایش فشار داخل جمجمه بروز میکند. در صورت عدم درمان بیمار به اغما رفته واحتمال مرگ وجود دارد.
علتشناسی
اتیولوژی هیدروسفالی بیشتر شامل سه ویژگی است:
- تولید بیش از اندازه مایع مغزی-نخاعی(لیکور مغز): با نام هیپرپروداکتیو که بیشتر در کودکان دیده میشود و بیشترین دلیل٬ وجود کارسینوم یا پاپیلوم در شبکه کوروئید است.
- انسداد در مسیر گردش مایع: بیشتر بدلیل بستهشدن کانال یا مجرای سیلویوس(بین بطن سه و چهار) رخداده و در نوزادان٬ بیشتر دیده میشود.
- کاهش سرعت و قدرت بازجذب مایع
- آلودگی مادر باردار به انگل، مانند توکسوپلاسما، و انتقال آن از طریق جفت به جنین
- آنیمیای دوران جنینی (ناشی از ناسازگاری بین خون مادر و جنین و تولید آنتی بادی از طرف مادر علیه جنین)
علائم
علائم در نوزادان
- تغذیه ناکامل
- کج خلقی
- کاهش فعالیت
- تهوع
علائم در کودکان
- کند ذهنی.
- سر درد (ابتدا در صبح ها) که در کودکان نسبت به نوزادان به دلیل صلبیت جمجمه شدیدتر است.
- گردن درد که شبیه فتق لوزه ها است.
- تهوع که هنگام صبح شدیدتر است.
- تاری دید که ناشی از اِدم پاپی بوده و در مراحل بعدتر بیماری، ناشی از گسترش آتروفی اعصاب بینایی است.
- دوبینی که ناشی از فلج شدن یکطرفه یا دوطرفه عصب ششم است.
- اختلال در رشد و بلوغ جنسی که به دلیل بزرگ شدن بطن سوم است. این امر می تواند چاقی، بلوغ زودرس و یا شروع دیرتر بلوغ را در پی داشته باشد.
- دشواری در راه رفتن به همراه گرفتگی عضلات که این مشکل در اندام حرکتی تحتانی در اثر کشیدگی رشته های عصبی هرمیِ پری ونتریکولار (Periventricular) ایجاد می شود.
- خوابآلودگی.
علائم در بزرگسالان
- کاهش قابلیت های ادراکی که این امر می تواند با انواع دیگر جنون در بزرگسالان اشتباه تشخیص داده شود.
- سر درد که بیشتر هنگام صبح غالب است زیرا مایع مغزی – نخاعی در حالت خوابیده کمتر جذب می شود و با نشستن بهبود می یابد. هر چه بیماری گسترش یابد، سر دردها شدیدتر و طولانی تر می شود.
- گردن درد که نشان دهنده پیشرفت لوزه های مغزی به فورامن مگنوم (Foramen Magnum) است.
- حالت تهوع که با حرکت سر شدت نمییابد.
- استفراغ که در مواردی به شکل انفجاری بوده و بیشتر هنگام صبح رخ می دهد.
- تاری دید که نشان دهنده آسیب جدی به اعصاب بینایی است و باید به صورت اورژانسی تحت درمان قرار گیرد.
- دوبینی ناشی از فلج عصب ششم.
- دشواری در راه رفتن.
- خواب آلودگی.
- بی اختیاری ادرار و مدفوع (ابتدا در ادرار و در صورت عدم درمان، در مدفوع) که نشان دهنده تخریب قابل توجه لوب قدامی و پیشرفته بودن بیماری است.
انواع
- هیدروسفالی مرتبط یا غیر انسدادی: بسته بودن جریان مایع مغزی-نخاعی در ناحیهٔ ساب آراکنوئید و بزرگ شدن همه بطنهای مغز و افزایش فشار دراطراف مغز و نخاع پیآمد آن است.
- هیدروسفالی انسدادی یا غیر مرتبط: بستهشدن کانال(آکوداکت) یا مجرای سیلویوس بین بطن سه و چهار مغز است و چون در آن ارتباط بینبطنی قطع میشود٬ با نام غیرمرتبط شناخته میشود.
- هیدروسفالی ایدیوپات (بدون علت خارجی)
پانویس
^ Chiari
منابع
- دورلند: فرهنگ جامع - واژه هیدروسفالی
- Neurologia per le professioni sanitarie; Pietro B.Carrieri; Mediserve ;ISBN 978-88-8204-187-8
- مدلیب: کلیدواژه: هیدروسفالی
- تارنمای آفتاب : هیدروسفالی
- MedlinePlus: hydrocephalus
- انستیتوی ملی نورولوژی: هیدروسفالی (تارنما به زبان انگلیسی)
- وب سایت دکتر گیو شریفی
