انسفالیت
التهاب مغز یا انسفالیت (به انگلیسی: Encephalitis) به معنی التهاب حاد بافت مغزی است. شایعترین نوع آن انسفالیت ویروسی میباشد. ویروس خود را از طریق خون به مغز میرساند و در عملکرد آن اختلال ایجاد میکند در بیماریهای سیفلیس، هاری و مالاریا نیز احتمال آنسفالیت وجود دارد. انسفالیت چون از بیماریهای ثانویه ویروسی میباشد میتواند ردههای مختلفی داشته باشد و از عدم تعادل در راه رفتن تا کما و مرگ را در پی خواهد داشت. برای مثال در نوزادان ویروس هرپس سیمپلکس باعث ایجاد تبخال میگردد یا ویروسی که در آبله مرغان به مغز میرسد میتواند فقط کمی عدم تعادل در راه رفتن را در پی داشته باشد. در موارد کمی آسیبهای جدی به مغز وارد شده و آسیبها جبرانشان سخت خواهد بود. این بیماری میتواند از طریق عوامل قارچی هم ایجاد شود که ار راه استنشاقی وارد و سپس به خون و سپس به سیستم عصبی حمله میکنند.
| انسفالیت | |
|---|---|
![]() | |
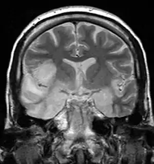
| Coronal T2-weighted MR image shows high signal in the temporal lobes including hippocampal formations and parahippogampal gyrae, insulae, and right inferior frontal gyrus. A brain biopsy was performed and the histology was consistent with encephalitis. PCR was repeated on the biopsy specimen and was positive for HSV | |
| طبقهبندی و منابع بیرونی | |
| تخصص | عصبشناسی |
| آیسیدی-۱۰ | A83-A86, B94.1, G05 |
| آیسیدی-9-CM | 323 |
| دادگان بیماریها | 22543 |
| ئیمدیسین | emerg/۱۶۳ |
| سمپ | D004660 |
تشخیص و درمان
از جمله علائم آن تب، سردرد، فوتوفوبیا (ترس از نور) و تشنج، تحریک پذیری و عصبی شدن، استفراغ، لوچ شدن چشمان یا دید دوگانه ضعف دست و ... هستند. از جمله آزمایشها تشخیصی بررسی مایع مغزی نخاعی که احتمال مننژیت باکتریایی را هم رد میکند با پونکسیون لومبار میباشد. درمان بستگی به عامل ایجادکننده دارد.
منابع
- درباره انسفالیت
- دورلند فرهنگ پزشکی. تهران
- انجمن پزشکی بریتانیا نوشته پروفسور برنارد والمن، اصلاحات دکتر م. الف
