کرنایکتروس
کرنایکتروس (به انگلیسی: Kernicterus) نوعی اختلال نادر مغزی پایا است که در اثر رسوب کردن بیلی روبین در ماده خاکستری دستگاه عصبی مرکزی ایجاد میشود. نوزادان بیش از همه در معرض چنین آسیبی قرار دارند. موارد زیر در نوزادان مبتلا به کرنایکتروس دیده میشود:[1]
- شیر نخوردن
- بیحالی
- گریه با صدای زیر
- افزایش تون
- ٱپیستوتونوس (به انگلیسی: opisthotonos)(کمانی شدن گردن و پشت)
- تشنج
- کری عصبی-حسی (به انگلیسی: sensorineural)
- کندی حرکتی، اختلال خارج هرمی (به انگلیسی: extrapyramidal)
- فلج نگاه (به انگلیسی: gaze palsy)
- دیسپلازی دندانی
| کرنایکتروس | |
|---|---|
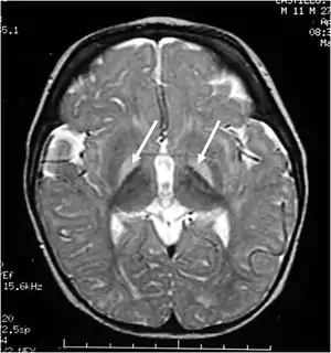
![]() | |
| ام آر آی از سر، گانگلیونهای بازال دچار آسیب هستند | |
| طبقهبندی و منابع بیرونی | |
| تخصص | پزشکی کودکان |
| آیسیدی-۱۰ | P57 |
| آیسیدی-9-CM | 773.4, 774.7 |
| دادگان بیماریها | 7161 |
| مدلاین پلاس | 003243 |
| ئیمدیسین | ped/۱۲۴۷ |
| پیشنت پلاس | کرنایکتروس |
| سمپ | D007647 |
از نظر بالینی، این بیماری را به سه زیرگروه حاد(به انگلیسی: Acute bilirubin encephalopathy (ABE))، مزمن (به انگلیسی: Chronic Bilirubin Encephalopathy (CBE))و مخفی (به انگلیسی: Subtle bilirubin encephalopathy (SBE))تقسیمبندی میکنند.
شایان ذکر است که تنها فرم غیر کانژوگه (غیرمستقیم) بیلیروبین میتواند از سد خونی مغزی رد شده و منجر به ایجاد این نوع انسفالوپاتی شود؛ لذا در هایپر بیلیروبینمیاهای ناشی از انسداد مجاری صفراوی، که غلظت فرم کانژوگه در خون بالا میرود؛ چنین اختلالی مشاهده نمیشود.[2]
کرنایکتروس هنگام افزایش غلظت بیلیروبین غیرکانژوگه به مقداری بیش از ۲۰ الی ۲۵ میلیگرم در دسیلیتر، که ظرفیت سیستم انتقالی آلبومین خون است، ایجاد میگردد. داروهای تحریککننده کانژوگهشدن و ترشح صفرا، مانند فنوباربیتالها میتوانند در پیشگیری از این اختلال در نوزادان مؤثر باشند. همچنین قرار گرفتن در معرض نور آبی، به دلیل تحریک سلولهای کبدی به دفع بیلیروبین غیر کانژوگه، در کاهش زردی نوزادان و پیشگیری از این اختلال کارآمد است.[2] نکته مهم دیگری که باید به آن توجه کرد این است که مصرف سفتریاکسون(نسل سوم سفالوسپورین ها) هم میتواند موجب کرن ایکتروس شود، چرا که این آنتیبیوتیک توانایی اتصال بالایی به آلبومین دارد و میتواند موجب جدا شدن بیلی روبین و رسوب آن ونهایتا ایجاد کرن ایکتروس شود، لذا میبایست از مصرف سفتریاکسون در نوزادان اجتناب کرد.
منابع
- National Collaborating Centre for Women's and Children's Health, (UK) (2010 May). "NICE Guideline for Neonatal jaundice (CG98)" (PDF). PMID 22132434. Archived from [NICE Guideline for Neonatal jaundice (CG98) the original] Check
|url=value (help) on ۲ دسامبر ۲۰۱۳. Retrieved 2 March 2013. Check date values in:|date=(help) - Harper's Illustrated Biochemistry. McGraw Hill. ۲۰۱۲. صص. ۳۱۷, ۳۱۸.
مشارکتکنندگان ویکیپدیا. «Kernicterus». در دانشنامهٔ ویکیپدیای انگلیسی، بازبینیشده در ۲۶ مارس ۲۰۱۳.
