گلومرولونفریت سریع پیشرونده
گلومرولونفریت سریعاً پیشرونده (انگلیسی: Rapidly progressive glomerulonephritis) نوعی بیماری کلیوی است که علامت بارز آن کاهش سریع عملکرد کلیه است. معمولاً کاهش پنجاه درصدی (GFR) در عرض سه ماه روی میدهد. در بیوپسی کلیه در پنجاه تا هفتادوپنج درصد گلومرولها هلال تشکیل شده است. بیماری سریعاً به نارسایی حاد کلیه منجر میشود. این فرم از گلومرولونفریت اغلب ناشی از تخریب بیماریهایی مانند نشانگان گودپاسچر و لوپوس منتشر است.
| گلومرولونفریت سریعاً پیشرونده | |
|---|---|
![]() | |
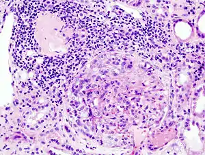
| Histopathological image of crescentic glomerulonephritis in a patient with MPO-ANCA positive rapid progressive glomerulonephritis. Hematoxylin & eosin stain. | |
| طبقهبندی و منابع بیرونی | |
| تخصص | نفرولوژی |
| آیسیدی-۱۰ | N01 |
| دادگان بیماریها | 3165 |
| ئیمدیسین | med/۸۸۱ med/۸۹۰ |
جستارهای وابسته
منابع
- مشارکتکنندگان ویکیپدیا. «Rapidly progressive glomerulonephritis». در دانشنامهٔ ویکیپدیای انگلیسی، بازبینیشده در ۹ نوامبر ۲۰۱۵.
This article is issued from Wikipedia. The text is licensed under Creative Commons - Attribution - Sharealike. Additional terms may apply for the media files.
.jpg.webp)