فئوکروموسیتوما
فئوکروموسیتوما (به انگلیسی: Pheochromocytoma) یک غده (تومور) نادر است که معمولاً در غدد آدرنال رخ میدهد. در این تومور افزایش ترشح کاتکولامینها و همچنین افزایش رنین روی میدهد.
| فئوکروموسیتوما | |
|---|---|
![]() | |
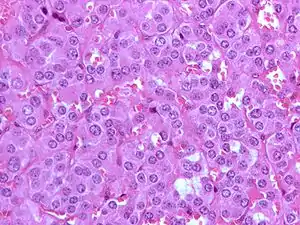
| بزرگنمایی بالا عکاسی ریزنگاری یک فئوکروموسیتوما, نشان دهنده ترتیب تو در تو سلولهای (Zellballen) و stippled chromatin. H&E stain. | |
| طبقهبندی و منابع بیرونی | |
| تخصص | سرطانشناسی |
| آیسیدی-۱۰ | D35.0, C74.1 |
| آیسیدی-9-CM | 227.0, 194.0, 255.6a |
| آیسیدی-اُ: | M8700/0 |
| اُمیم | 171300 |
| دادگان بیماریها | 9912 |
| مدلاین پلاس | 000340 |
| ئیمدیسین | med/۱۸۱۶ radio/552 ped/1788 |
| پیشنت پلاس | فئوکروموسیتوما |
| سمپ | D010673 |
بیماریزایی
تومورهای فئوکروموسیتوما از بخش مرکزی (مدولای) فوق کلیه با سلولهای کرومافین در داخل یا اطراف گانگلیونهای سمپاتیک به وجود میآیند و کاتکولامینها بخصوص آدرنالین و نورآدرنالین ترشح میکنند.
علائم
تپش قلب، درد پهلو، فشار خون بالا، از دست دادن وزن، تعریق، بالارفتن قندخون، درد قفسه سینه، تهوع و استفراغ و رنگ پریدگی. عوارض کشنده تومور مانند MI، CVA، ایسکمی مزانتر و مرگ متعاقب آن میباشد.
تشخیص
تشخیص این بیماری با مشاهده افزایش تولید کاتکولامینها یا متابولیتهای آنها اثبات میگردد. معمولاً میتوان با بررسی یک نمونه ادرار ۲۴ ساعته به تشخیص بیماری دست یافت. البته در صورتی که بیمار طی مدت نمونهگیری دچار هیپرتانسیون شده یا نشانههای بیماری را داشته باشد. میزان تشخیصی کاتکولامینهای تام ادرار در این بیماری Mgr 25 و مقدار اپی نفرین بیش از Mgr در ۲۴ ساعت است.
تشخیص افتراقی: از آن جا که تظاهرات فئوکروموسیتوم در زمانهای مختلف متغیر هستند، در بسیاری از بیماران باید بر اساس ویژگیهای بالینی احتمالی به تشخیص یا رد آن اقدام نمود. از جمله بیماریهای مشابه: فشار خون اولیه و خصوصیات هیپیرآدرنرژیک، نظیر تاکیکاردی، تعریق و افزایش برون ده قلبی، بیماران مبتلا به حملات اضطراب همراه با فشار خون، افزایش فشار خون ناشی از قطع مصرف کلونیدین یا استفاده از کوکائین یا مهارکنندههای MAO
درمان
درمان فئوکروموسیتوما شامل ابتدا کنترل فشار خون بالا با داروهای کاهنده فشار خون (مانند فنوکسی بنزامین و لابتولول) است.فنتولامین داروی انتخابی درمان فئوکروموسیتوما است. هنگامیکه فشار خون تحت کنترل است، درمان این بیماری برداشتن غده آدرنال غیرطبیعی توسط جراحی (لاپاراسکوپی یا لاپاراتومی) است. فنوکسی بنزامین را ۱۴-۱۰روز قبل از عمل برای بیماری شروع میکنند که دوز اولیه معمول این دارو mgr 10 هر ۱۲ ساعت است و سپس هر چند روز یکبار mgr 20-10 به آن اضافه میشود تا فشار خون کنترل شود. برای مشخص کردن محل توده از CTscan یا MRI استفاده میشود.

_histopathology.jpg.webp)
_histopathology.jpg.webp)
_histopathology.jpg.webp)


