تومور استخوان
سرطان استخوان یا تومور استخوان (به انگلیسی: Bone tumor)به رشد نئوپلاسم بافت استخوانی اشاره میکند. رشد ناهنجار استخوان میتواند بدخیم یا خوش خیم باشد.
| تومور استخوان | |
|---|---|
![]() | |
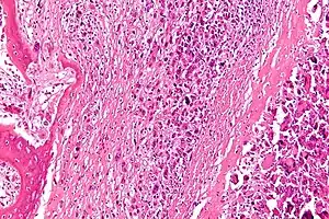
| ریزنگاری یک استئوسارکوم, تومور استخوان بدخیم اصلی. | |
| طبقهبندی و منابع بیرونی | |
| تخصص | سرطانشناسی |
| آیسیدی-۱۰ | C40-C41 |
| آیسیدی-9-CM | 170.9 |
| مدلاین پلاس | 001230 |
| سمپ | D001859 |
طبقهبندی
میتوان این تومور را به تومورهای ابتدایی که در بافتها و سلولهای مشتق شده از استخوان به وجود میآیند یا تومورهای ثانویه که به استخوان متاستاز میدهند دستهبندی نمود.
تومورهای خوش خیم اولیه مانند: استئوما، استئوئید استئوما، استئوکندروما، استئوبلاستوما، انکندروما، ژیانت سل تومور استخوان، کیست آنوریسمال استخوان، و دیسپلازی فیبروی استخوان.
تومورهای بدخیم اولیه مانند : استئوسارکوما, کندروسارکوما، Ewing's sarcoma, فیبروسارکوما.
تومورهای ثانویه مانند : متاستاز از سرطان سینه، سرطان ریه و سرطان پروستات.
This article is issued from Wikipedia. The text is licensed under Creative Commons - Attribution - Sharealike. Additional terms may apply for the media files.
