سارکوم یوئینگ
سارکوم یوئینگ (انگلیسی: Ewing sarcoma؛ /ˈ[invalid input: 'ju:']ɪŋ/) نوعی تومور بدخیم گرد کوچک آبیرنگ و نادر است که در استخوانها یا بافت نرم بهوجود میآید. این تومور در هر استخوانی میتواند بروز کند ولی بیشتر در لگن، ران و بازو و کتف و دندهها رشد میکند و سن شیوع آن در نوجوانی یا جوانی است. یوئینگ در پسرها، کمی شایعتر از دخترهاست.
| سارکوم یوئینگ | |
|---|---|
![]() | |
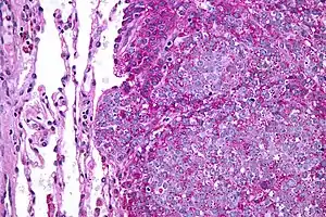
| عکاسی ریزنگاری of metastatic Ewing sarcoma (right of image) in normal lung (left of image). PAS stain. | |
| طبقهبندی و منابع بیرونی | |
| تخصص | سرطانشناسی |
| آیسیدی-۱۰ | C41.9 |
| آیسیدی-9-CM | 170.9 |
| آیسیدی-اُ: | M9260/3 |
| اُمیم | ۱۳۳۴۵۰ |
| دادگان بیماریها | 4604 |
| مدلاین پلاس | 001302 |
| ئیمدیسین | ped/۲۵۸۹ |
| سمپ | D012512 |
علایم و تشخیص
همانند دیگر تومورهای بدخیم استخوانی درد شایعترین علامت اولیه آن میباشد. محل تومور ممکن است متورم شده و لمس محل دردناک شود. برخلاف دیگر تومورهای استخوانی ممکن است با علائم سیستمیک مانند تب و کاهش اشتها و وزن همراه باشد. یافتههای رادیوگرافی یک کلسیفیکاسیون 'پوست پیازی' بارز و مشخص را نشان میدهد.
درمان
جراحی: به ندرت جراحی میتواند باعث برداشت کل تومور شده و در نتیجه بهبودی کامل حاصل شود. معمولاً جراحی پس از شیمی درمانی اولیه انجام میشود.
شیمی درمانی: قبل و بعد از جراحی انجام میشود. معمولاً یک نئوادجوانت شیمی درمانی مانند وین کریستین یا داکسوروبیسین بعلاوه یک سیکلوفسفامید مانند ایفوسفامید (ifosfamide) یا اتوپوساید (etoposide) بکار میرود.
پرتودرمانی: بعد از شیمی درمانی و قبل و بعد از جراحی انجام میشود.
پیشآگهی
معمولاً متاستاز به قفسه سینه و استخوانها یا مغز استخوان روی میدهد. پیش آگهی در موارد تومور موضعی خوب است و بیش از ۷۰ درصد بیماران پس از عمل جراحی و دوره شیمی درمانی طول عمر بالای پنج سال دارند؛ ولی در صورت متاستاز پیش آگهی خوبی وجود ندارد و در پنج سال زیر بیست درصد بیماران زنده میمانند.
خانواده تومورهای سارکوم یویینگ
گروهی از سرطانها که شامل تومور استخوان یویینگ (ETB یا Ewing Sarcoma Of Bone)، تومورهای خارج استخوانی یویینگ (Eoe یا Extraosseous Ewing Tumors)، تومورهای اولیه نورواکتودرمال (PNET یا Primitive NeuroEctodermal Tumors)، و تومورهای Askin (PNET دیواره قفسه سینه) است. این تومورها همگی از یک نوع سلول بنیادی سرچشمه میگیرند. بهجای Ewing Sarcoma Family Of Tumors، از واژه EFTS هم استفاده میشود.
