استئوسارکوما
استئوسارکوما یا (به انگلیسی: Osteosarcoma)به نوعی از رشد نئوپلاسم بدخیم بافت استخوانی اشاره میکند. منشا این نوع سرطان سلولهای مزانشیمال استخوان هستند لذا سارکوم نامیده میشود.
| Osteosarcoma | |
|---|---|
![]() | |
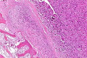
| Intermediate magnification micrograph of an osteosarcoma (center and right of image) adjacent to non-malignant bone (left-bottom of image). The top-right of the image has poorly-differentiated tumor. Osteoid with a high density of malignant cells is seen between the non-malignant bone and poorly-differentiated tumor. H&E stain. | |
| طبقهبندی و منابع بیرونی | |
| تخصص | سرطانشناسی |
| آیسیدی-۱۰ | C40-C41 |
| آیسیدی-9-CM | 170 |
| آیسیدی-اُ: | M9180/3 |
| اُمیم | 259500 |
| دادگان بیماریها | 9392 |
| مدلاین پلاس | 001650 |
| ئیمدیسین | ped/1684 orthoped/531 radio/504 radio/505 |
| سمپ | D012516 |
بیماریزایی

استئوسارکوم در دهههای دوم و سوم زندگی رخ میدهد و در مردان شایعتر است. شایعترین ناحیه درگیر اطراف زانو (ابتدای درشت نی و انتهای استخوان ران) است ، سپس اطراف مفصل ران و شانه (استخوان بازو). این سارکوم بدخیمتر از کندروسارکوم است. یافتههای رادیوگرافی عبارتند از تخریب استخوان و کلسیفیکاسیون مجدد با زاویهٔ ۹۰ درجه نسبت به کورتکس استخوان، که در رادیوگرافی بهصورت نمای شاخص 'طلوع خورشید' (sun-burst) دیده میشود. متاستاز از راه خون به ریه شایع است.
درمان
درمان عبارت است از برداشتن موضعی و رادیکال ضایعه و در صورت نیاز شیمی درمانی با داروهایی مانند سیس پلاتین ، دوکسورابیسین ، مسنا ، سیکلوفسفامید و داکتینومایسین .
