نشانگان باد-کیاری
نشانگان باد-کیاری یا سندروم بود-کیاری(انگلیسی: Budd–Chiari syndrome) یک انسداد علامتی ورید کبدی اصلی میباشد، که باعث هپاتومگالی، درد شکمی، تندرنس، آسیت، زردی خفیف و در نهایت نارسایی کبد و پرفشاری ورید باب میشود؛ که در اکثر موارد این انسداد در اثر لخته بر اثر اختلالات انعقادی خون؛ نئوپلاسم بیشتکثیری مغز استخوان، تهاجم کارسینومهای فوق کلیه و کلیه به کبد و ترومای شکمی ایجاد میشود.
| Budd–Chiari syndrome | |
|---|---|
![]() | |
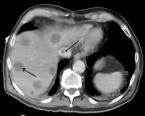
| Budd–Chiari syndrome secondary to cancer, note clot in the inferior vena cava and the metastasis in the liver | |
| طبقهبندی و منابع بیرونی | |
| تخصص | کبدشناسی |
| آیسیدی-۱۰ | I82.0 |
| اُمیم | ۶۰۰۸۸۰ |
| دادگان بیماریها | 1735 |
| مدلاین پلاس | 000239 |
| ئیمدیسین | med/۲۶۹۴ ped/296 radio/۱۲۱ |
| پیشنت پلاس | نشانگان باد-کیاری |
منابع
- مشارکتکنندگان ویکیپدیا. «Budd–Chiari syndrome». در دانشنامهٔ ویکیپدیای انگلیسی، بازبینیشده در ۲۶ ژانویه ۲۰۱۶.
This article is issued from Wikipedia. The text is licensed under Creative Commons - Attribution - Sharealike. Additional terms may apply for the media files.
