کاپوت مدوزا
کاپوت مدوزا (انگلیسی: Caput medusae) به معنای مشاهده عروق متسع و برجسته به صورت شعاعی در اطراف ناف بیمار است. کاپوت مدوزا علامتی است که اغلب در بیماران با فشار بالای ورید باب (مانند سیروز) مشاهده میشود و در واقع نوعی آناستوموز عروقی سیستم باب با سیستم سیاهرگی وناکاوا است که به صورت غیرطبیعی ایجاد میشود.
| Caput medusae | |
|---|---|
![]() | |
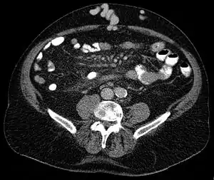
| Axial CT showing portosystemic collateral circulation via the umbilical vein: caput medusae in سیروز | |
| طبقهبندی و منابع بیرونی | |
| تخصص | پزشکی قلب |
| آیسیدی-۱۰ | I86.8 ( ILDS I86.820) |
به صورت طبیعی این وریدها پس از تولد نوزاد در هفته اول عملکرد خود را از دست میدهند. مدوسا یا مدوزا یکی از اساطیر یونان باستان است.
جستارهای وابسته
منابع
- مشارکتکنندگان ویکیپدیا. «Caput medusae». در دانشنامهٔ ویکیپدیای انگلیسی، بازبینیشده در ۲۰ نوامبر ۲۰۱۴.
This article is issued from Wikipedia. The text is licensed under Creative Commons - Attribution - Sharealike. Additional terms may apply for the media files.
