رادیوگرافی پروجکشن
رادیوگرافی پروجکشنی یک نوع رادیوگرافی و تصویربرداری پزشکی است که تصاویر دو بعدی با اشعه ایکس تولید میکند. فراگیری تصویر بهطور کلی توسط رادیوگرافی انجام میشود و تصاویر اغلب توسط رادیولوژیستها مورد بررسی قرار میگیرند. رادیوگرافی ساده بهطور کلی به تصویر برداری رادیوگرافی (بدون استفاده از تکنیکهای پیشرفته مانند توموگرافی کامپیوتری که میتواند تصاویر سه بعدی تولید کند) اشاره دارد. رادیوگرافی ساده میتواند به رادیوگرافی بدون یک عامل رادیو کنتراست یا رادیوگرافی اشاره کند که یک تک تصویر ایستا را تولید میکند، در مقایسه با فلوروسکوپی، که از لحاظ فنی نیز تصویر برداری میشوند.
| Projectional radiography | |
|---|---|
![]() تصاویر AP و جانبی آرنج با اشعه ایکس | |
| ICD-10-PCS | B?0 |
| ICD-9-CM | 87 |
| OPS-301 code | 3-10...3-13 |
تجهیزات
مولد اشعه ایکس

رادیوگرافی پروجکشن بهطور کلی از اشعه ایکس، ایجاد شده توسط مولد اشعه ایکس استفاده میکند که اشعه ایکس را از لامپ اشعه ایکس تولید میکند.
گرید
یک گرید باکی-پاتر ممکن است بین بیمار و آشکارساز قرار بگیرد تا مقدار اشعه ایکس پراکنده شده را که به آشکارساز میرسد، کاهش دهد. این باعث افزایش کنتراست تصویر میشود، اما باعث میشود تا تابش پرتو برای بیمار نیز افزایش یابد.
آشکارساز (دتکتور)
آشکارسازها را میتوان به دو دسته عمده تقسیم کرد: آشکارسازهای تصویربرداری (مانند صفحات عکاسی و فیلم اشعه ایکس (فیلم عکاسی) که اغلب با دستگاههای مختلف دیجیتالی مانند صفحات تصویر یا آشکارسازهای صفحه تخت جایگزین میشوند) و دستگاههای سنجش دوز (مانند اتاقهای یونیزاسیون، شمارنده گیگر و دوزی مترها در اندازهگیری دوز پرتو تابشی موضعی یا میزان دوز مورد استفاده قرار گیرد، برای مثال برای اطمینان از اینکه تجهیزات و روشهای حفاظت پرتو مؤثر بر یک اساس است).
محافظ
سرب مواد اصلی مورد استفاده توسط پرسنل رادیوگرافی برای محافظت در برابر اشعههای پراکنده شده ایکس است.
خواص تصویر
تصویربرداری رادیوگرافی به ویژگیهای اشعه ایکس (مقدار و کیفیت پرتو) و شناخت چگونگی اثر کردن ان در بافت انسان برای ایجاد تصاویر تشخیصی وابسته است. اشعه ایکس یک نوع تابش یونیزه است، به این معنی که انرژی کافی برای حذف بالقوه الکترونها از یک اتم را دارد، به این ترتیب که بار آن را به یون تبدیل میکند.
تضعیف (میرایی) اشعه ایکس
هنگامی که پرتو ساخته شد، پرتو ایکس خروجی از تیوب به عنوان پرتو اولیه شناخته میشود. هنگامی که پرتو اولیه از بدن عبور میکند، برخی از اشعههای جذب شده در این فرایند به عنوان ریزش شناخته میشوند. بافتی که چگال تر است، دارای میزان جذب اشعه ایکس پایینتری نسبت به بافت است که تراکم کمتری دارد، بنابراین استخوان اشعه ایکس بیشتری از بافت نرم جذب میکند.
پس از انفجار پرتو اولیه، اشعه باقی مانده به عنوان اثر پرتو شناخته میشود. اثر پرتوهای باقی مانده مسئول تشخیص گیرندههای تصویر هستند. مناطقی بر روی گیرنده تصویر که بیشترین تابش را دریافت میکنند (بخشهایی از پرتو باقی مانده که ضعیف تر هستند) بیشتر در معرض پرتو قرار میگیرند، و به همین ترتیب به عنوان قسمت تیرهتر پردازش میشوند. در مقابل، مناطقی که دارای گیرنده تصویر هستند که حداقل میزان اشعه را دریافت میکنند (بخشهایی از پرتو باقی مانده که بیشترین آسیب را تجربه میکنند) کمتر در معرض قرار میگیرند و به عنوان قسمت شفاف تر پردازش میشوند. به همین دلیل است که استخوان، که بسیار متراکم است، به رنگ سفید در گرافیک رادیویی مشخص میشود و ریهها که بیشتر شامل هوا و کمترین تراکم هستند، «سیاه» نشان داده میشوند.
تراکم (چگالی)
تراکم رادیوگرافی اندازهگیری تیرگی کلی تصویر است. تراکم یک واحد لگاریتمی است که رابطه بین نور را با ضربه زدن به فیلم مشخص مینماید و نور را از طریق فیلم منتقل میکند. یک تراکم رادیوگرافی بیشتر نمایانگر مناطق تیره فیلم است و تراکم کمتر نشان دهنده مناطق شفاف فیلم است. اما با استفاده از تصویربرداری دیجیتالی، تراکم ممکن است به عنوان روشنایی مطرح شود. روشنایی رادیوگرافی در تصویربرداری دیجیتال توسط نرمافزار کامپیوتری و مانیتور که در آن تصویر مشاهده میشود، تعیین میگردد.
کنتراست
کنتراست به عنوان تفاوت در تراکم رادیوگرافی بین قسمتهای مجاور تصویر تعریف میشود. محدوده بین سیاه و سفید بر روی رادیوگرافی نهایی است. کنتراست بالا یا کنتراست پایین، به این معنی است که در رادیوگرافی مناطق خاکستری کمی وجود دارد. کنتراست کم یا کنتراست طولانی مدت، به این معنی است که در رادیوگرافی مناطق خاکستری زیادی وجود دارد.
مفهوم عرض اکسپوژر (در معرض قرار دادن جسم مقابل اشعه ایکس) نزدیک به کنتراست رادیوگرافی است. عرض اکسپوژر محدوده ای از رخداد است که گیرنده تصویر با تراکم تشخیصی مفید پاسخ میدهد. به عبارت دیگر این «انعطاف پذیری» یا «اختیار» است که یک رادیوگرافی در هنگام تنظیم عوامل با آن مواجهه است. تصاویر دارای یک مقیاس کوتاه از کنتراست دارای عرض اکسپوژر وسیع هستند. تصاویر دارای کنتراست بلند مدت دارای عرض اکسپوژر گسترده هستند؛ به این ترتیب رادیوگرافی قادر خواهد بود از طیف گستردهای از عوامل فنی برای تولید یک تصویر با کیفیت، استفاده کند.
کنتراست توسط کیلو ولتاژ (کیلوولت، انرژی /کیفیت /نفوذ پذیری) پرتو اشعه ایکس تعیین میشود و ترکیب بافت از قسمت بدن، رادیوگرافی شود. انتخاب جدولهای جستجو (LUT) در تصویربرداری دیجیتال همچنین کنتراست را تحت تأثیر قرار میدهد.
بهطور کلی، کنتراست بالا برای قسمتهایی از بدن که در آن آناتومی استخوانی از علائم بالینی (اندامها، برون استخوان و غیره) میباشد، لازم است. هنگامی که بافت نرم مورد رادیوگرافی قرار میگیرد (از جمله شکم یا سینه)، کنتراست پایینتر برای نشان دادن دقیق تمام قسمتهای بافت نرم در این مناطق ترجیح داده میشود.
بزرگنمایی هندسی
بزرگنمایی هندسی حاصل از آشکارساز، دورتر از منبع اشعه ایکس از جسم است. در این راستا، فاصله منبع-آشکارساز یا همان اندازهگیری فاصله بین ژنراتور (منبع) تا آشکارساز میباشد.[1]

نامهای منبع[3]/تمرکز بر گیرنده[3]/گیرنده تصویر/فیلم (اخیرا مورد استفاده در فیلم اشعه ایکس) فاصله ([3] SID, FID, FRD).
فاکتور بزرگنمایی پرتونگار (ERMF) نسبت فاصله منبع تا آشکارساز (SDD) به فاصله منبع تا جسم (SOD) است.[4] اندازه جسم به صورت زیر محاسبه میشود:
درحالی که سایز تصویر، اندازه ای است که جسم در آشکارساز به وجود میآورد. در رادیوگرافی کمر و قفسه سینه انتظار میرود که ERMF بین ۱٫۰۵ تا ۱٫۴۰ باشد.[5] به دلیل عدم قطعیت اندازه واقعی اشیاء دیده شده در رادیوگرافی، اندازه آنها اغلب با سایر ساختارهای داخل بدن مانند ابعاد مهرهها یا با تجربه بالینی مقایسه میشود.[6]
فاصله منبع تا آشکارساز (SDD) تقریباً با فاصله منبع تا جسم (SOD)[7] متقارن است و فاصله آشکارساز تا جسم (ODD) به واسطه معادله SOD + ODD = SDD است.
ناپایداری بودن هندسی
ناواضح بودن هندسی به وسیله ژنراتور اشعه ایکس ایجاد نمیشود، بلکه اشعه ایکس را از یک نقطه واحد از یک ناحیه ایجاد میکند، که میتواند به اندازه نقطه کانونی اندازهگیری شود. ناواضح بودن هندسی نسبت به اندازه کانونی و همچنین عامل بزرگنمایی تخمین زده رادیوگرافی(ERMF) افزایش مییابد.
اعوجاج هندسی
ارگانهای بدنها فاصلههای نسبی مختلفی را نسبت به آشکارساز دارند، بسته به اینکه مسیر اشعه ایکس از کجا است. به عنوان مثاال، رادیوگرافی قفسه سینه، ترجیحاً با اشعه ایکسی از پشت (به نام رادیوگرافی "posteroanterior" یا "PA") گرفته شدهاست. با این وجود در صورتی که بیمار قادر به ایستادن نیست، رادیوگرافی اغلب باید از بیماران در موقعیت طاق باز گرفته شود (به نام رادیوگرافی "کنار بستر") با اشعه ایکس از بالا ("anteroposterior" یا "AP") بررسی گردد. همچنین بزرگنمایی هندسی باعث میشود برای مثال قلب بزرگتر به نظر برسد، زیرا دورتر از آشکارساز قرار میگیرد.[8]
تغییرات تصویربرداری بافت هدف
تصویر برداری رادیوگرافی با استفاده از اشعه ایکس در مقادیر مختلف و نقاط قوت با توجه به اینکه بدن در کدام حالت تصویر برداری است، استفاده میشود:
- بافتهای سخت مانند استخوان نیاز به یک منبع فوتون با انرژی نسبتاً بالا دارند و بهطور معمول یک آند تنگستن با یک ولتاژ بالا (50kVp تا 150kVp) در یک ماشین سه فاز یا فرکانس بالا برای تولید bremsstrahlung یا تابش ترمزی استفاده میشوند. بافت و فلزات استخوانی چگال تر از بافت اطراف هستند و بدین ترتیب با جذب بیشتر فوتونهای اشعه ایکس، مانع جذب این پرتو میشوند.[10] هرکجا که بافت متراکم، اشعه ایکس را جذب کرده یا متوقف کند، فیلم اشعه ایکس حاصل از آن خارج میشود و به نظر میرسد آبی روشن است، در حالی که قسمتهای سیاه این فیلم، بافت چربی، پوست و اندامهای داخلی را نشان میدهد، که نمیتواند اشعه ایکس را متوقف کند. این معمولاً برای دیدن شکستگیهای استخوانی، اشیاء خارجی (مانند قورت دادن سکهها) و مورد استفاده برای پاتولوژی استخوانی مانند ورم مفاصل و استخوانها (آرتروز)، عفونت استخوان، سرطان (استئوسارکوما) و همچنین مطالعات رشد (طول پا، آکندروپلازی (بیماری مادرزادی استخوان که موجب بدهنجاری و کم رشدی اسکلت بدن میشود)، اسکولیوز و …) میباشد.
- بافتهای نرم با دستگاه مشابه برای بافتهای سخت دیده میشوند، اما از یک پرتو ایکس «ملایم» یا با نفوذ کمتر برای آنها استفاده میشود. بافتهای معمولی شامل ریهها و سایه قلب بر روی رادیوگرافی قفسه سینه، الگوی هوای روده در شکم در اشعههای شکمی، بافتهای نرم گردن، مدارهای آن توسط یک رادیوگرافی جمجمه قبل از MRI برای بررسی پرتو نارسان بدنه خارجی (به ویژه فلز) و البته سایر بافتهای نرم در اشعه ایکس از آسیبهای استخوانی توسط رادیولوژیست برای علائم تروما پنهان (به عنوان مثال، علامت «توده چربی دهانی» بر روی یک شکستگی آرنج) مورد بررسی قرار میگیرد.
اصطلاحات رادیوگرافی پروجکشن
نکته: واژه ساده کلمه 'view' اغلب برای توصیف یک تصویربرداری پرتونگار استفاده میشود.
رادیوگرافی ساده بهطور کلی به رادیوگرافی (بدون استفاده از تکنیکهای پیشرفته تر مانند توموگرافی کامپیوتری) اشاره دارد.
رادیوگرافی ساده میتواند به رادیوگرافی بدون یک عامل رادیو اکتیو یا رادیوگرافی منجر شود که به صورت فلوروسکوپی متناسب با تصاویر استاتیک تولید میشود.
- AP - قدامی-خلفی
- PA - خلفی-قدامی
- DP - خلفی-زیرین
- صفحه جانبی - تصویر با پرتو مرکزی عمود بر صفحه (سطحی دو بعدی) گرفته شدهاست.
- Oblique - تصویر با یک پرتو مرکزی با زاویه به هر یک از صفحههای بدن گرفته شدهاست. به وسیلهٔ انحراف زاویه و یک قسمتی از پرتو ایکس خروجی از بدن راست یا چپ و خلفی یا قدامی را توصیف میکند؛ به عنوان مثال، یک سطح اریب ۴۵ درجه راست قدامی ستون فقرات گردن. خمیدگی - در هنگام خمیدگی، رادیوگرافی مفصل انجام میشود. Extension - در حالیکه در حال گسترش است، رادیوگرافی مفصل انجام میشود.
آزمایش تحت اشعه ایکس - Stress Views - بهطور معمول از مفاصل گرفته شده با نیروی خارجی اعمال میشود در جهت که متفاوت از حرکت اصلی مفصل است.
- تحمل وزن - بهطور کلی در اینجا ایستادن مطرح است.
- HBL, HRL, HCR یا CTL - پرتو افقی جانبی، اشعه افقی جانبی، اشعه افقی مرکزی، یا جدول صلیبی جانبی. معمولاً زمانی که بیماران قادر به ایستادن نیستند، یک تصویر جانبی گرفته میشود.
- Prone - بیمار در مقابلش دراز کشیدهاست.
- Supine - بیمار به پشت خوابیدهاست.
- Decubitus - بیمار در پایین دراز کشیدهاست. علاوه بر توصیفهای سطح زیرین بدن: خلفی (عقب پایین)، شکمی (جلو و پایین) یا جانبی (سمت چپ یا راست پایین).
- OM - اکسیپیتال مغزی یک خط خیالی موقعیتی توسعه یافته به وسیله منتی (آرواره) تا استخوان پس سر (منحصراً برآمدگی occiputal خارجی).
- Cephalad یا Cranial - زاویه تیوب به سمت سر
- Caudal - زاویه لوله به سمت پاها
توسط ارگان هدف یا ساختار
پستان
مقاله اصلی: ماموگرافی

تصویربرداری رادیوگرافی سینه ماموگرافی نامیده میشود. این مورد بیشتر بر روی زنان برای سرطان سینه استفاده میشود، اما همچنین برای بررسی سینههای مردان نیز مورد استفاده قرار میگیرد و در ارتباط با رادیولوژیست یا جراح برای قرار دادن بافت مشکوک قبل از بیوپسی یا لامپکتومی (توده برداری) استفاده میشود. ایمپلنتهای پستان طراحی شده برای بزرگ کردن سینه باعث کاهش توانایی دیدن ماموگرافی میشود و نیاز به زمان بیشتری برای تصویربرداری دارد، زیرا باید دید بیشتری داشته باشد. این به این دلیل است که مواد مورد استفاده در ایمپلنت نسبت به بافت پستان بسیار متراکم است و به نظر میرسد سفید (واضح) بر روی فیلم است. پرتو مورد استفاده برای ماموگرافی تمایل دارد که ملایم باشد (انرژی فوتونی پایینتر) نسبت به آن که برای بافت سختتر استفاده میشود. اغلب لوله با آند مولیبدنم (molybdenum) با حدود ۳۰۰۰۰ ولت (30kv) استفاده میشود که طیف وسیعی از انرژی اشعه ایکس را در حدود ۱۵–۳۰ کیلو الکترون ولت فراهم میکند. بسیاری از این فوتونها «مشخصه تابش» انرژی خاصی هستند که توسط ساختار اتمی ماده هدف (تابش Mo-k) تعیین میشوند.
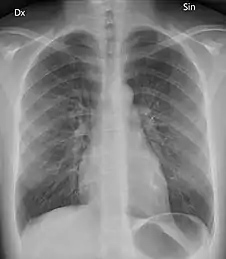
قفسه سینه
مقاله اصلی: رادیوگرافی قفسه سینه
_chest_radiograph_(X-ray).jpg.webp)
رادیوگرافی قفسه سینه برای تشخیص بسیاری از شرایط شامل دیواره قفسه سینه، از جمله استخوانهای آن و همچنین ساختارهای موجود در حفرههای قفسه سینه از جمله ریهها، قلب و عروق بزرگ استفاده میشود. شرایطی که معمولاً توسط رادیوگرافی قفسه سینه مشخص میشود عبارت اند از ذات الریه، هوای جنبی (وجود هوا یا گاز در پرده جنب)، بیماری ریوی بینابینی، نارسایی قلبی، شکستگی استخوان و فتق حجاب حاجز (هیاتال). بهطور معمول تصویربرداری عمودی قدامی-خلفی (PA) طرح پیشنهادی است. رادیوگرافی قفسه سینه نیز برای یافتن بیماریهای مرتبط با شغلهایی در صنایع مانند صنایع معدن که در آن کارگران در معرض گرد و غبار قرار میگیرند، استفاده میشود.[11] برای بعضی از شرایط قفسه سینه، رادیوگرافی برای آزمایش مناسب است اما برای تشخیص ضعیف است. هنگامی که شرایط یک بیماری بر اساس تصاویر رادیوگرافی قفسه سینه مشکوک میشود، میتوان با تصویربرداری مجدد شرایط قفسه سینه را بهطور قطعی تشخیص داده یا شواهدی را به نفع تشخیص پیشنهاد شده توسط رادیوگرافی اولیه قفسه سینه بدست آورد. به استثنای یک شکستگی دنده که مشکوک به وجود جابجایی است و بنابراین احتمال آسیب به ریهها و دیگر ساختارهای بافت را ایجاد میکند، اشعه ایکس قفسه سینه ضروری نیست زیرا مدیریت بیمار را تغییر نمیدهد.
شکم
مقاله اصلی: Abdominal X-ray
در کودکان، رادیوگرافی شکمی در حالت حاد مشکوک به انسداد روده، پرفوراسیون دستگاه گوارش، جسم خارجی در دستگاه گوارش، مشکوک به توده شکمی و ابتلای به انواژیناسیون (که بخشی از تشخیص افتراقی میباشد) است.[12] با این حال سی تی اسکن بهترین روش برای تشخیص آسیب داخل شکمی در کودکان است.[12] برای درد حاد شکم در بزرگسالان، اشعه ایکس دارای حساسیت و دقت کم است. توموگرافی کامپیوتری یک برنامهریزی استراتژیک کلی برای جراحی بهتر و احتمالاً لاپاروترومیهای غیر ضروری را فراهم میکند؛ بنابراین اشعه ایکش شکمی برای بزرگسالان در بخش اورژانس با درد حاد شکم توصیه نمیشود.[13]
پروتکل استاندارد اشعه ایکس شکمی مغمولاً یک تصویر قدامی خلفی در حالت طاق باز است.[14] تصویر کلیهها، حالب و مثانه یک تصویر قدامی خلفی شکمی است که سطح سیستم ادراری را پوشش میدهد اما لزوماً شامل دیافراگم نیست.
سر
- آنژیوگرافی مغزی اجازه تجسم عروق خونی در مغز و اطراف مغز را میدهد. عامل کنتراست قبل از رادیوگرافی سر ترزیق میشود.
- رادیوگرافی اوربیتال، تصویربرداری هر دو حفره چشم چپ و راست، بهطور کلی شامل سینوسهای فرونتال یا پیشانی و سینوس ماگزیلاری (سینوس فکی بالا) است.
- رادیوگرافی دندان با استفاده از دوز تابش کوچک با نفوذ بالا برای مشاهده دندان، که نسبتاً متراکم است. یک دندانپزشک ممکن است دندان و لثه دردناک را با استفاده از تجهیزات اشعه ایکس بررسی کند. ماشین آلات مورد استفاده بهطور معمول تک فاز با پالس DC، قدیمیترین و سادهترین نوع هستند. تکنسینهای دندانپزشکی یا دندانپزشک ممکن است این دستگاه را ران کنند؛ رادیوگرافی طبق قانون نیازی به حضور شخصی ندارد. یک روش مشتق شده از تصویر برداری رادیوگرافی که در رادیوگرفی دندانی استفاده میشود، پرتونگاری پانورامیک (Orthopantomography) است. این یک روش تصویربرداری پانوراما از فک بالا و پایین با استفاده از توموگرافی فوکوس کانونی است که در آن ژنراتور (منبع) اشعه ایکس و آشکارساز اشعه ایکس بهطور همزمان منتقل میشوندتا بتوانند در معرض تابش اشعه منظم تنها بر روی صفحه در هنگام گرفتن تصویر باشند.
- سینوس - پروتکل استاندارد در انگلستان OM با دهان باز است.[14]
- استخوان صورت - پروتکل استاندارد در انگلستان OM و OM سی(۳۰) درجه است.[14]
در صورت تروما، پروتکل استاندارد بریتانیا برای داشتن یک سی تی اسکن جمجمه به جای تصویر رادیوگرافی است.[14] یک بررسی اسکلتی شامل جمجمه میتواند به عنوان مثال حاکی از میلوما چندگانه باشد.[14]
سایر اسکلتهای محوری

ستون فقرات (ستون مهره ای) تصویربرداری رادیوگرافی ستون فقرات یک دوز مؤثر تقریباً 1.5mSv را به وجود میآورد که قابل مقایسه با زمان تابش پس زمینه ۶ ماه است.
- مهرههای گردنی: تصاویر استاندارد AP و جانبی در انگلستان.
- مهرههای قفسه سینه: AP و جانبی در انگلستان و در ایالات متحده آمریکا، AP و جانبی تصاویر بنیادی هستند. سطح اریب ۲۰ درجه از صفحه جانبی میتواند، مفصل زیگاپوفیزیال (بین مهره ای پشتی) را بهتر تشریح کنند.
- مهرههای کمری: AP و جانبی +/- (L5/S1) در انگلستان، با سطح اریب و خمیدگی و تعمیم، کمیاب (نادر) است. در ایالات متحده آمریکا، تصاویر پایه عبارتند از AP، دو سطح اریب، جانبی و جانبی L5-S1 نقطه ای به منظور تجسم بهتر فضای بین L5-S1. پروجکشنهای ویژه AP عطف راست و چپ و همچنین صفحه جانبی با گسترش و خمیدگی هستند.
- لگنچه: AP فقط در انگلستان، با پروجکشنهای SIJ(متمایل) روی درخواست خاص است.
- ساکروم و کوکسیکس: :در ایالات متحده، اگر هر دو استخوان بهطور جداگانه مورد بررسی قرار گیرند، تصاویر محور AP به سمت سر و به سمت دم به ترتیب برای ساکروم و کوکسیکس و نیز یک تک صفحه جانبی از هر دو استخوان به دست میآید.
- دندهها: در ایالات متحده، تصاویر معمولی دنده براساس مکان موردنظر محاسبه میشود. اینها با طول موجهای کوتاه/ فرکانسهای بالاتر/تابش با سطح بالاتر از استاندارد CXR به دست میآیند.
- ناحیه قدامی از مکان مورد نظر- یک اشعه ایکس PA قفسه سینه، یک تصویر PA دنده، یک سطح اریب قدامی ۴۵ درجه با سمت غیر موردنظر نزدیک به گیرنده تصویر است.
- ناحیه خلفی موردنظر: یک اشعه ایکس PA قفسه سینه، یک تصویر PA از دنده و یک سطح اریب خلفی ۴۵ درجه ای با سمت موردنظر نزدیک به گیرنده تصویر است.
- جناغ سینه(Sternum): تصاویر استاندارد ستون فقرات در انگلستان، PA قفسه سینه و جناغ جانبی است. در ایالات متحده، دو تصویر اولیه سطح اریب قدامی ۱۵ تا ۲۰ درجه راست و جانبی است.
- مفصل Sternoclavicular - معمولاً به عنوان یک PA واحد و یک سطح اریب قدامی راست و چپ ۱۵ درجه در ایالات متحده آمریکا سفارش داده میشود.
شانهها
تصویر AP سطح اریب خلفی ۴۰ درجه پس از Grashey
بدن باید حدود ۳۰ تا ۴۵درجه نسبت به شانه چرخانده شود تا تصویربرداری انجام شود و بیمار در حالت ایستاده یا نشسته اجازه میدهد دستانش را آویزان کند. این روش شکاف مفصلی و تراز عمودی نسبت به حفرات را نشان میدهد.[16]
_X-ray_of_a_normal_shoulder.jpg.webp)
تصویر ترقوه زیر بغلی
بازوها باید ۸۰ تا ۱۰۰ درجه از هم دور شوند. این روش نشان میدهد:[16]
- تراز افقی سر استخوان بازو در ارتباط باحفره وترقوه جانبی در ارتباط با آکرومیون است.
- ضایعات قدامی و خلفی لبه حفره یا برجستگی دنده کوچکتر
- مشروط بر عدم بسته شدن آپوفیز نوک شانه
- فاصله کوراکوومرر
پروجکشن Y
حد فاصله جانبی شانهها باید در جلوی فیلم قرار گیرد و در مسیر محور طولی کتف به موازات مسیر پرتوها ادامه یابد. این روش نشان میدهد:[16]
- تمرکز افقی سراستخوان بازو و حفرات
- حاشیه استخوانی قوس نوک زائده از این رو، کانال انتهایی ماهیچه بالاخاری یا عضله فوق خاری.
- شکل آکرومیون
این تصویر دارای تلورانس کمی برای خطاها و بنابراین نیاز به اجرای مناسب دارد.[16] پروجکشن Y را میتوان به عنوان طرحریزی cavitas-en-face منتشر شده در سال 1933 Wijnblath ردیابی کرد.[17]
در انگلستان، تصاویر استاندارد از شانهها عبارتند از AP و کتف جانبی یا پروجکشن زیربغلی.[14]
پروجکشن Y
ترقوه زیر بغلی
اندام تحتانی
یک رادیوگرافی پروجکشنی اندام تحتانی، دوز مؤثری حدود 0.001mSv را به وجود میآورد که قابل مقایسه با زمان تابش پس زمینه معادل ۳ ساعت است.[15]
پروتکلهای تصاویر استاندارد در انگلیس عبارتند از:[14]
- ترقوه - AP و AP جمجمه
- استخوان بازو - AP و جانبی
- آرنج - AP و جانبی. تصاویر موجود سر استخوان رادیوس در صورت درخواست.
پروجکشن جانبی
پروجکشن قدامی خلفی
پروجکشن مایل داخلی ۳۰ درجه آرنج چپ
پروجکشن مایل خارجی ۳۰ درجه آرنج چپ
- استخوان رادیوس و اولنا - AP و جانبی
- مچ دست - DP و جانبی
تصویر مچ دست چپ به واسطه dorsoplantar
پروجکشن جانبی
- استخوان ناوی - DP با انحراف اولنا(Ulna)، جانبی، مایل و DP با زاویه ۳۰ درجه
- مفصل هیپ (Hip):[14] AP و جانبی
- طرح برادران انشتاین یک نوع از بررسی مفصل ران با تأکید بر رابطه استخوان ران با حفره حقه ای است. زانو پای تحت تأثیر خم میشود و بخش میان زانو تقریباً به یک زاویه راست کشیده میشوند. به این پوزیشن، پوزیشن پای قورباغه گفته میشود.
AP لگن طبیعی
برنامههای کاربردی شامل اشعه ایکس دیسپلازی (dysplasia) استخوان هیپ میباشد.
- دست - DP و مایل
پروجکشن دست چپ به واسطه dorsoplantar
پروجکشن جانبی
پروجکشن مایل
- انگشتان - DP و جانبی
- انگشت شست - AP و جانبی
- استخوان ران(Femur) - AP و جانبی
- زانو - AP و جانبی. پروجکشنهای داخلی کندیلار(Condular) در صورت درخواست.
- استخوان کشکک - تصویر افقی مرئی
زانوی راست، قدامی خلفی
زانوی راست، جانبی
استخوان کشکک (کمی انحراف) افق مرئی
- تیبیا (Tibia) و فیبولا (Fibula) - AP و جانبی
- مچ (قوزک) پا - AP و جانبی
مچ پا قدامی
چرخش داخلی ۱۵ درجه جانبی
جانبی (کمی کم کیفیت با دیدن مستقیم از طریق مفصل مچ پا)
صفحه جانبی مایل (برای تجسم مرز خلفی تیبیا)
- شکستگی استخوان - محوری و جانبی
- پا / انگشتان پا - Dorsoplantar، مایل و جانبی[18]
پا راست نرمال به وسیله پروجکشن dorsoplantar
پروجکشن مایل
پروجکشن جانبی
برخی شرایط مشکوک به تصاویر خاص نیاز دارند. به عنوان مثال، نشانه و علامتهای اسکلتی از نرمی استخوان، بهطور عمده رشد سریع در مکان مشاهده میشود، از جمله مبدأ استخوان بازو، رادیوس دور از مبدأ و هر دو استخوان پروگزیمال و دیستال تیبیا (tibia). بنابراین یک بررسی اسکلتی برای نرمی استخوان میتواند با رادیوگرافیهای قدامی خلفی زانو، مچ دست و مچ پا انجام شود.[19]
مقلدهای بیماری عمومی
.jpg.webp)
آرتیفکتهای دیداری (بصری)، ساختارهای آناتومیک نرمال (طبیعی) یا انواع بیضرر هستند که ممکن است بیماریها یا ناهنجاریهای را شبیهسازی کنند. در رادیوگرافی پروجکشن، مقلدهای بیماری عادی شامل جواهرات، لباسها و چین و چروک پوست میباشند.[20]
جستارهای وابسته
منابع و مراجع
- Page 359 in: Olaf Dössel, Wolfgang C. Schlegel (2010). World Congress on Medical Physics and Biomedical Engineering September 7 - 12, 2009 Munich, Germany: Vol. 25/I Radiation Oncology. IFMBE Proceedings. Springer Science & Business Media. ISBN 978-3-642-03474-9.
- «Digital radiography for the inspection of small defects (February 2006)». twi-global.com (به انگلیسی). دریافتشده در ۲۰۱۹-۰۱-۲۷.
- «source-to-image-receptor distance». TheFreeDictionary.com. دریافتشده در ۲۰۱۹-۰۱-۲۷.
- «C.8.7.5 XA Positioner Module». dicom.nema.org. دریافتشده در ۲۰۱۹-۰۱-۲۷.
- Implementation of unsharpness and noise into the model of the imaging system: Applications to chest and lumbar spine screen-film radiography. کاراکتر line feed character در
|عنوان=در موقعیت 40 (کمک) - Neuroimaging. Newnes. 2016-07-12. ISBN 9780702045387.
- «source-object distance». TheFreeDictionary.com. دریافتشده در ۲۰۱۹-۰۱-۲۷.
- Bonow, Robert O.; Mann, Douglas L.; Zipes, Douglas P.; Libby, Peter (2011-02-25). Braunwald's Heart Disease E-Book: Expert Consult Premium Edition – Enhanced Online Features and Print. Elsevier Health Sciences. ISBN 9781437727708.
- «Radiation Protection in Medical Radiography - 6th Edition». www.elsevier.com. دریافتشده در ۲۰۱۹-۰۱-۲۷.
- Hill, Robin; Healy, Brendan; Holloway, Lois; Kuncic, Zdenka; Thwaites, David; Baldock, Clive (2014-02-28). "Advances in kilovoltage x-ray beam dosimetry". Physics in Medicine and Biology. 59 (6): R183–R231. doi:10.1088/0031-9155/59/6/r183. ISSN 0031-9155.
- «CDC - NIOSH Redirector for http://www.cdc.gov/niosh/blog/nsb060209_chest-radiography.html». www.cdc.gov (به انگلیسی). ۲۰۱۸-۱۱-۲۱. بایگانیشده از اصلی در ۲۸ ژانویه ۲۰۱۹. دریافتشده در ۲۰۱۹-۰۱-۲۷. پیوند خارجی در
|title=وجود دارد (کمک) - «Clinical Practice Guidelines: Radiology - Acute indications». www.rch.org.au. دریافتشده در ۲۰۱۹-۰۱-۲۹.
- Boermeester, Marja A.; Stoker, Jaap; Gans, Sarah L. (2012-06-13). "Plain abdominal radiography in acute abdominal pain; past, present, and future". International Journal of General Medicine (به English). Retrieved 2019-01-29.
- Radiographic Standard Operating Protocols. ۲۷ ژانویه ۲۰۱۶.
- Radiology (ACR), Radiological Society of North America (RSNA) and American College of. "Patient Safety - Radiation Dose in X-Ray and CT Exams". www.radiologyinfo.org. Retrieved 2019-01-27.
- Hedtmann, A.; Heers, G. (2007-09-01). "Bildgebende Verfahren bei Rotatorenmanschettendefekten der Schulter". Der Orthopäde (به آلمانی). 36 (9): 796–809. doi:10.1007/s00132-007-1138-8. ISSN 1433-0431.
- e-learning.studmed.unibe.ch http://e-learning.studmed.unibe.ch/radiosurf/htmls/slide.html?radiosurf%7Cradskeleton%7Cteachingcentral%7Csk_medium%7C29. دریافتشده در ۲۰۱۹-۰۱-۲۷. پارامتر
|عنوان= یا |title=ناموجود یا خالی (کمک) - «Foot Injuries». RCEMLearning (به انگلیسی). دریافتشده در ۲۰۱۹-۰۱-۲۷.
- pubs.rsna.org. doi:10.1148/rg.234025149 https://pubs.rsna.org/action/captchaChallenge?redirectUrl=https%3A%2F%2Fpubs.rsna.org%2Fdoi%2F10.1148%2Frg.234025149&. دریافتشده در ۲۰۱۹-۰۱-۲۷. پارامتر
|عنوان= یا |title=ناموجود یا خالی (کمک) - Darby, Michael; Maskell, Nicholas; Edey, Anthony; Chandratreya, Ladli (2012-04-08). Pocket Tutor Chest X-Ray Interpretation. JP Medical Ltd. ISBN 9781907816062.
برای مطالعهٔ بیشتر
- Sutherland, Ruth, and Calum Thomson. Pocketbook of radiographic positioning. Elsevier Health Sciences, 2007.
- Gunn, Chris. Bones and joints: a guide for students. Elsevier Health Sciences, 2011.
- Spratt, Jonathan D. , et al. Imaging atlas of human anatomy. Elsevier Health Sciences, 2010.
پیوند به بیرون
- Online Radiography Positioning Manual
- Nice Guidelines
- The Human Skeleton
- RADIOGRAPHY WIKI

