پلی سیتمی ورا
"پلی سیتمی ورا" نوعی بیماری خونی میلوپرولیفراتیو است که در آن مغز استخوان بیش از حد موردنیاز گلبول قرمز میسازد. در این بیماری ممکن است تولید پلاکت و گلبول سفید نیز افزایش یافته باشد. بیماری اغلب بدون علامت است.
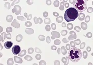
| پلی سیتمی ورا | |
|---|---|
![]() | |
| Blood smear from a patient with polycythemia vera | |
| طبقهبندی و منابع بیرونی | |
| تخصص | خونشناسی |
| آیسیدی-۱۰ | D45 |
| آیسیدی-9-CM | 238.4 |
| آیسیدی-اُ: | M9950/3 |
| مدلاین پلاس | 000589 |
| سمپ | D011087 |
پلی سیتمی ورا نوعی پُرخونی است که در آن، بیش از یک سوم افراد از خارش رنج می برند. خارش این افراد بیشتر با تغییر حرارت و به خصوص دقایقی بعد از استحمام است. علتش هم احتمالاً ازاد شدن هیستامین یا پروستاگلاندینها است. و کمی آسپیرین موجب تخفیف فوری خارش در آنها میشود.[1].
همچنین رجوع شودبه
- Hematopoietic ulcer
This article is issued from Wikipedia. The text is licensed under Creative Commons - Attribution - Sharealike. Additional terms may apply for the media files.
