پورپورای ترومبوتیک ترومبوسیتوپنیک
پورپورای ترومبوتیک ترومبوسیتوپنیک (به انگلیسی: Thrombotic thrombocytopenic purpura) گونه کمیاب اختلال انعقاد خون است که همراه با ایجاد لختههای خون بسیار ریز در رگهای کوچک تمام بدن است.[1] علت اغلب موارد کمبود آنزیم ADAMTS13 در پلاسماست که یک متالوآنزیم است.
| پورپورای ترومبوتیک ترومبوسیتوپنیک | |
|---|---|
![]() | |
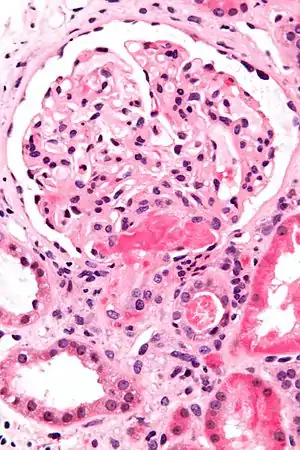
| عکاسی ریزنگاری نشان دهنده یک ترومبوز میکروآنژیوپاتیک ریز که میتواند در TTP دیده شود. یک ترومبوز در ناف گلومرول وجود دارد (مرکز تصویر ) رنگ امیزی H&E ، بیوپسی کلیه | |
| طبقهبندی و منابع بیرونی | |
| تخصص | خونشناسی |
| آیسیدی-۱۰ | M31.1 ( ILDS M31.110) |
| آیسیدی-9-CM | 446.6 |
| اُمیم | ۲۷۴۱۵۰ |
| دادگان بیماریها | 13052 |
| مدلاین پلاس | 000552 |
| ئیمدیسین | emerg/۵۷۹ neuro/۴۹۹ med/۲۲۶۵ |
| سمپ | D۰۱۱۶۹۷ |
تظاهرات بالینی
بیماران به دلیل تشکیل لخته دچار ترومبوسیتوپنی و آنمی (آنمی میکروآنژیوپاتیک) شدید هستند. لختههای میکروسکوپیک ایجاد شده موجب آسیب به اندامهایی مانند کلیه (ایجاد نارسایی کلیه) ، قلب و مغز (احتمال سردرد ، اختلال عصبی و سکته مغزی) میشوند.[2] بیماران اغلب تب نیز دارند. تظاهرات عصبی نوسانکننده شایع هستند و خونریزی داخل مغزی از علل شایع مرگ است.
بیماریزایی
آنزیم ADAMTS13 عهده دار شکستن پلیمرهای بسیار بزرگ یا غیرمعمول VWFاست.در بیماران TTPبه دلیل نبود این آنزیم، پلیمرهای بزرگ فون ویلبراند موجب ترومبوز پلاکتی در مویرگها می گردد. این ترمبوز های پلاکتی به طور گسترده در مغز و کلیه به وجود می آیند. شایعترین سن بیماری بین ۱۰ تا ۴۰ سالگی است. کمخونی همولیتیک میکروآنژیوپاتیک در اثر عبور گویچههای سرخ از درون عروق خونی ریز آسیبدیدهٔ حاوی رشتههای فیبرین رخ میدهد.
درمان
بدون درمان میزان مرگ و میر TTP حدود ۹۰٪ میباشد ، که اکثراً ظرف ۳ ماه از آغاز علایم رخ میدهد. درمان اصلی تبادل پلاسما و جایگزینی با پلاسمای منجمد تازه است.[2] کورتیکواستروئیدها ، آنتی بادی مونوکلونال و تنظیم کنندههای ایمنی مانند سیکلوسپورین و وینکریستین نیز در درمان بکار میروند.
جستارهای وابسته
پانویس
- Nieminen U
- Lusher JM
منابع
- Nieminen U., Peltola H., Syrjala MT., et al Acute thrombocytopenia following measles, mumps
and rubella vaccination. Acta paediatr ۱۹۹۳، ۸۲ ۲۶۷
- Lusher JM., Emami A., Karindranath Y et al., Idiopathic thrombocytopenic purpura in
children. Am J pediatr hematoloncol, ۱۹۸۴، ۶ ۱۴۹-۵۷
